Les pneumonies sont des affections extrêmement fréquentes, premières parmi les infections communautaires et nosocomiales du fait de la facilité de transmission. Les formes cliniques sont assez peu nombreuses mais le tableau initial n’est pas toujours très spécifique et les intrications avec les pathologies respiratoires chroniques et les comorbidités peuvent compliquer la reconnaissance de cette dernière. À la phase initiale, il y a souvent un manque de certitude concernant le germe responsable, il faut faire un pari microbiologique avant d’adapter au mieux les traitements aux résultats bactériologiques et à l’évolution clinique.
Sommaire
La transmission est interhumaine, par contamination aéroportée plutôt que suite à la localisation secondaire d’un foyer infectieux à distance, après passage par voie hématogène. Des terrains sont prédisposés : insuffisance respiratoire au sens large (BPCO, insuffisance restrictive, mucoviscidose, insuffisance cardiaque …), cancer du poumon, comorbidités, sujet âgé, troubles de déglutition, terrain débilité, immunodépression …
Il n’y a pas de rythme saisonnier particulier, même si l’hiver est une période propice aux infections avec, en particulier, le pic épidémique de la grippe et de ses surinfections. Les infections à Haemophilus sont également attendues en hiver et au début du printemps. Sur les terrains fragiles, des pneumopathies sont néanmoins observées toute l’année.
Deux tableaux cliniques s’opposent souvent : la pneumopathie franche lobaire aiguë (PFLA) à début brutal et marqué et la pneumopathie interstitielle, d’installation plus progressive. Il faut leur rajouter les tableaux de bronchopneumonie bilatérale à évolution souvent très rapide, avec une lourde mortalité par détresse respiratoire hypoxémiante et choc septique.
Dans la forme stéréotypée de la PFLA, il y a :
Les pneumopathies interstitielles ont un début plus progressif, le tableau est moins virulent, mais souvent trainant, touchant les deux poumons de manière symétrique.
Le terrain modifie souvent le tableau clinique, on peut observer une majoration de l’expectoration, de sa purulence ou de sa fréquence dans une surinfection de BPCO. La pneumonie peut ne pas être sévère par elle même mais source de décompensation grave de cette BPCO, d’un asthme ou d’une insuffisance cardiaque.
Certains germes pouvant donner des atteintes septiques diffuses vont donner des tableaux particuliers de pneumopathie : tuberculose pulmonaire , peste , anthrax …
Les données d’interrogatoire recherchent :
Les symptômes peuvent avoir une présentation variée, mais souvent on note une survenue brutale et une rapidité d’installation : douleur thoracique, dyspnée, hémoptysie de faible abondance ou crachats hémoptoïques, diminution des capacités à l’effort, douleur pleurale voire projetée abdominale.
La présence de la toux et de l’expectoration orientent, mais toutes les pneumopathies, en tous cas dans les premiers temps, ne présentent pas de toux. À contrario certaines toux sont tenaces comme dans la coqueluche, quinteuses, persistantes voire émétisantes.
L’expectoration est attendue purulente et si elle reste blanche, elle doit être remise en question pour un diagnostic de pneumopathie bactérienne. La constatation d’une anomalie spécifique des crachats est assez rare (couleur rouille : pneumonocoque ; verdâtre : Pseudomonas, Haemophilus, pneumocoques ; rouge aspect de gelée : Klebsiella pneumonia ; goût et odeur nauséabonds : anaérobies).
Un grand nombre de symptômes non spécifiques sont souvent présents, de l’ordre de signes généraux (malaise, fatigue, fièvre, tremblements et frissons parfois tellement intenses et brutaux qu’ils font croire à l’entourage à une crise convulsive), myalgies, douleurs abdominales, nausées, vomissements, anorexie, diarrhée, perte de poids, confusion.
La Légionelle donne facilement un syndrome confusionnel, des hémoptysies, 50% ont des présentations digestives avec diarrhée. Elle peut se manifester en fièvre de Pontiac, à présentation pseudo virale avec malaise, fièvre, frissons, myalgies, céphalées, qui en général ne donne pas de séquelles. Elle peut aussi se présenter en pneumopathie à Légionelle, plus agressive et à mortalité très élevée quand le traitement n’est pas débuté rapidement, elle touche plus facilement les sujets fragiles, âgés, BPCO, traumatisés.
Les données d’examen clinique sont :
Le diagnostic différentiel peut se poser sur la dyspnée ou la douleur avec les autres affections thoraciques et aussi quelques douleurs projetées.
Des indices existent pour définir les patients pouvant bénéficier d’une prise en charge ambulatoire et ceux à admettre en hospitalisation (c’est d’ailleurs un peu vaste et fouillis) :
Le PSI semble sous-évaluer la nécessité d’hospitalisation (critères de possibilité de prise de traitement chez les patients jeunes) et surestimer la mortalité des patients à haut risque. On peut ainsi déterminer 5 classes de risques, I à II à traitement ambulatoire, les pneumopathies à hospitaliser à partir du stade III et en réanimation pour le V. L’identification du groupe à très faible risque I se base sur :
Si un des critères est présent le calcul du score se fait sur les éléments précédents plus des signes biologiques et radiologiques :
L’ancienne AFFSAPS et la SPLF avaient aussi émis des critères pour les terrains à risque, (qui finissent forcément un peu par se recouper) : diabète, BPCO, immunodépression dont corticothérapie ou traitement immunosuppresseur dans les 6 mois, splénectomie, chimiothérapie dans les 6 mois, infection à VIH avec CD4 < 200/mm³, antécédent de pneumonie bactérienne, hospitalisation dans l’année, vie en institution, drépanocytose.
Enfin l’inobservance au traitement, les complications d’emblée de la pneumopathie, l’isolement, les conditions socio-économiques défavorables doivent amener à l’hospitalisation.
Un nombre considérable de germes a été isolé dans les prélèvements réalisés au décours de pneumonies. Les plus fréquemment observés sont :
Les biomarqueurs sont d’un intérêt limité dans les pneumopathies. Aucun marqueur n’est spécifique d’une infection pulmonaire ni d’une sensibilité extraordinaire pour le diagnostic de pneumopathie. Si l’hyperleucocytose à polynucléaires neutrophiles est classique dans les pneumopathies bactériennes, la leucopénie est possible également et si elle est profonde, est un signe de gravité.
La protéine C réactive (CRP) autrefois vantée comme marqueur « bactérien » du sepsis a prouvé depuis longtemps n’être qu’un marqueur inflammatoire qui pouvait lui aussi être pris en défaut. Il en reste que les élévations importantes sont là aussi à prendre en compte comme signe de gravité. Sa cinétique est sans doute plus intéressante en sachant qu’il peut parfois y avoir un décalage avec les signes cliniques, surtout s’ils sont très rapides.
La procalcitonine, plus spécifique d’une atteinte bactérienne aurait aussi une valeur pronostique dans l’infection.
D’autres dosages non spécifiques, dans les « bilans standards » permettent de repérer les dysfonctions d’organe avec évolution de la pneumopathie vers un sepsis grave (insuffisance rénale aiguë, CIVD, …). Ces éléments sont souvent intégrés dans les scores décrits précédemment, comme le score de gravité APACHE (acute physiology and chronic health evaluation).
L’hyponatrémie < 130 est assez classique lors de pneumopathies et souvent associée à une hématurie microscopique en cas de légionellose.
Les gaz du sang artériel (parfois veineux pour la saturation veineuse centrale en oxygène) permettent de reclasser les pneumopathies hypoxémiantes et donc de déterminer celles qui auront besoin d’une hospitalisation pour oxygénothérapie.
D’autres dosages sont parfois demandés, comme le cortisol libre et les lactates dans l’évaluation du sepsis sévère.
Le dosage des anticorps anti Légionelle est utilisable mais semble comporter un grand nombre de faux négatifs. Il est réalisable sur les urines, l’expectoration. Le test urinaire détecte les Legionellose de type 1 mais pas à 100% et pas celles de type 2. Une pneumopathie sévère compatible avec une Légionelle et un test urinaire négatif n’élimine pas totalement l’hypothèse donc.
L’antigène soluble pour le pneumocoque est faisable sur les mêmes prélèvements et également sur le sérum.
Les tests immunologiques sanguins pour Mycoplasme, Chlamydia, Légionelle, et Coxiella sont faisables, mais les résultats sont tardifs et l’interprétation se fait sur la cinétique des Ig G et Ig M pour conclure. Ils aident donc lors d’un diagnostic rétrospectif.
L’utilisation de la PCR est en cours de développement, elle serait très sensible, mais la possibilité de faux positifs réduirait fortement son utilisation. Pour la Légionellose, en France, le centre de référence se trouve à Lyon, avec envoi des prélèvements directement pour optimiser le résultat.
Les hémocultures doivent être obtenues avant administration des antibiotiques, le temps d’incubation minimal pour obtenir un résultat est de 24h. Leur positivité est souvent bien corrélée avec les germes retrouvés par les autres examens, mais leur sensibilité est très faible dans la pneumonie (40% des cas), elles sont souvent même négatives pour le pneumocoque. Leur rendement est meilleur dans les infections les plus sévères, et les pneumonies lobaires sont associées à plus de bactériémies. À contrario, on recommande de ne plus les réaliser systématiquement si le diagnostic clinique est évident et qu’il n’y a pas de signes de gravité. Leur résultat final n’a que peu d’influence sur les choix thérapeutiques et aboutit peu à des changements d’antibiotiques.
L’examen cytobactériologique des crachats (ECBC) : si le prélèvement peut être fait dans de bonnes conditions, il doit être réalisé avant antibiothérapie. Sur la coloration de Gram un germe prédominant est souvent noté. Une flore mixte peut être observée en cas d’infection à anaérobies mais beaucoup de prélèvements sont soit irréalisables, soit contaminés par la flore oropharyngée.
La mise en culture des crachats a des limitations similaires et elle ne devrait être faite que pour des prélèvements qui ont satisfait à l’examen microscopique.
Les prélèvements par aspiration trachéale : chez les patients intubés, les prélèvements à l’admission peuvent guider le traitement, mais souvent le prélèvement par bronchoscopie a remplacé les aspirations trachéales à l’aveugle (lavage broncho-alvéolaire).
Si un épanchement pleural est présent, sa ponction, si nécessaire après repérage échographique, a une valeur diagnostique.
Dans les cas désespérés, où aucun prélèvement de qualité n’a pu être obtenu, Lichtenstein a proposé la ponction directe transpulmonaire sous guidage échographique pour obtenir un échantillon de pus à analyser au laboratoire.
Les pneumopathies compliquées en abcès ou en cavernes peuvent être parfois ponctionnées sous repérage scanographique.
L’aspect en histologie change en fonction du type d’atteinte : pneumopathie lobaire, interstitielle et bronchopneumonie. Je cite ces éléments à titre de curiosité scientifique puisque cela ne peut être une aide au diagnostic.
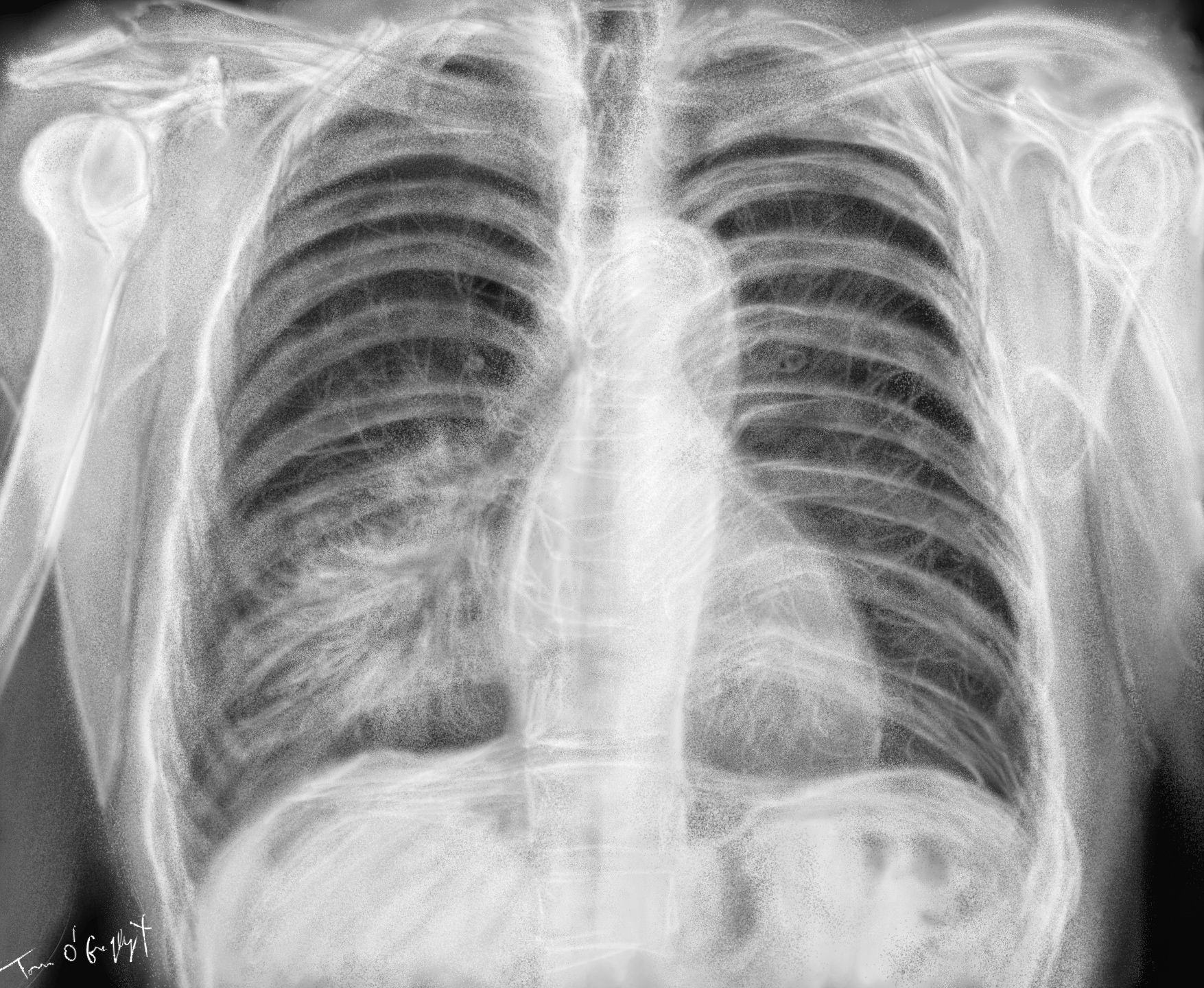
L’imagerie souvent réalisée est utile pour la détection de pneumopathies et identifier les complications mais ne donne que rarement des indications pour l’identification du germe. Deux présentations d’imagerie sont possibles : la condensation alvéolaire (uni ou bilatérale) et le syndrome interstitiel.
Elle est utile pour voir le foyer d’infection sous forme d’un infiltrat radio-opaque assez bien systématisé en cas de PFLA. Elle visualise facilement aussi un épanchement pleural parapneumonique associé (la moitié dans les cas de pneumonie à Haemophilus).
Dans la pneumonie lobaire, focale ou non-segmentaire, on peut voir la consolidation homogène intéressant un ou plusieurs lobes, avec persistance d’une bronche large ouverte et d’un bronchogramme aérique. Elle résulte de l’évolution rapide en œdème avec peu de réaction cellulaire survenant d’abord en périphérie et s’étendant ensuite entre les acini à travers les pores de Kohn et les canaux de Lambert.
Lors de l’infection caractérisée à pneumocoque, on peut voir une opacité parenchymateuse homogène lobaire avec bronchogramme aérique
et prenant à l’occasion l’aspect d’une masse arrondie.

pneumonie lobaire inférieure gauche assez discrète en radiographie mais du fait d’un foyer rétrocardiaque
La pneumonie d’inhalation prédomine dans les parties déclives, en infiltrat du lobe inférieur droit classiquement, mais dépendant du positionnement du patient lors de l’inhalation (poumon droit touché 2 fois plus souvent que le gauche).
Chez les patients alités, les images sont dans les segments postérieurs des lobes supérieurs et chez les patients verticalisés aux segments basals des lobes inférieurs.
La pneumonie à Klebsielle peut donner une expansion lobaire avec scissure bombante par exsudat inflammatoire abondant, avec possibilités de cavitation, souvent dans les lobes supérieurs.
La légionellose pulmonaire prédomine dans les lobes inférieurs. L’imagerie se normalise beaucoup plus tard que l’évolution clinique (8 semaines).
La bronchopneumonie ou pneumonie multifocale ou lobulaire, est visualisée radiologiquement par un aspect irrégulier avec épaississement péribronchique et une mauvaise délimitation air-opacités. À mesure que l’infection devient plus sévère, la consolidation impliquant les bronchioles terminales et les alvéoles entraine des opacités centrolobulaires nodulaires. Elles peuvent ensuite fusionner pour donner un aspect lobaire, et au maximum une image de poumon blanc, qui, en radiographie peut faire hésiter avec une pleurésie complète dans la grande cavité. À la différence de celle-ci, il n’y a pas de refoulement du médiastin du côté opposé, ni de la trachée mais plutôt une attraction de celle-ci du côté malade.
La virulence des germes occasionnant les bronchopneumonies peut faire évoluer vers des abcès, des pneumatocèles et une gangrène pulmonaire.
La pneumonie à staphylocoque montre un élargissement lobaire avec scissure bombante, évolution en abcès, cavitation avec niveau hydroaérique et pneumatocèle, un épanchement pleural voire un empyème.
Cette association cavitation et épanchement pleural se voit aussi dans la tuberculose, les infections à germes anaérobies, et à bacilles Gram négatif (BGN).
La pneumonie à Pseudomonas n’a pas d’aspect spécifique, il est souvent difficile de la différencier de l’affection pulmonaire sous-jacente. On voit des atteintes multi-lobaires avec prédilection pour les lobes inférieurs, images de nécrose, de cavitations, et possibilité par vascularite pulmonaire de développement d’infarctus pulmonaires ressemblant radiologiquement à une aspergillose.
La pneumonie interstitielle focale ou diffuse, lié à l’œdème et l’infiltrat inflammatoire cellulaire dans le tissu interstitiel pulmonaire donne généralement deux formes : insidieuse avec infiltration lymphatique des septas alvéolaires sans anomalie parenchymateuse, ou, de progression rapide avec atteinte alvéolaire affectant l’interstitium et les espaces aériques , avec image radiologique de syndrome réticulonodulaire.
Classiquement, on considérait que le poumon n’était pas accessible à l’échographie, l’air faisant barrière aux ultrasons. Pour le poumon normal, c’est vrai, on ne le voit pas à l’écho (ce qui n’est pas le cas de la plèvre qui elle est visible sous forme de glissement pleural physiologique); mais le poumon pathologique va donner une structure qui renvoie les ultrasons et donne donc des images pathologiques qui sont interprétables. Cette analyse n’a pas été initiée par les radiologues mais par les réanimateurs qui l’ont expérimentée sur des patients souvent victimes de pneumonies et qu’ils ne pouvaient mobiliser facilement vers l’imagerie sophistiquée.
Je détaille la sémiologie dans ce sujet : echographie et pneumonie. Je rappellerai juste les 2 aspects visibles à l’échographie : des lignes B diffuses comme dans l’œdème pulmonaire, qui traduisent le syndrome interstitiel, plus précoce que l’image radiographique (concomitante de l’image scanner) ; et une consolidation alvéolaire avec au maximum l’hépatisation du parenchyme pulmonaire.
Dans le contexte de l’echographie FAST, réalisée par les urgentistes, le diagnostic de pneumopathie peut être posé sur des données cliniques compatibles et une image superposable (avec en plus l’évaluation de la plèvre et des épanchements).
L’épanchement parapneumonique y est mieux visualisé qu’au scanner
, permettant un guidage pour la ponction pleurale.
Reste le Gold Standard pour l’évaluation d’une pneumopathie complexe, nécrosante, abcédée, d’une caverne, ou d’une pneumopathie sur poumon pathologique difficilement objectivable en radiographie. Il peut identifier les foyers plus tôt que la radiographie, en même temps que l’échographie. Il fait partie du bilan des syndromes interstitiels de diagnostic difficile, pour lesquels l’étiologie infectieuse n’est pas la seule envisagée.
Dans les dyspnées aiguës où l’étiologie infectieuse est en balance avec le diagnostic d’une embolie pulmonaire, l’angioscanner thoracique permet de lever le doute ou au contraire de confirmer l’EP.
Les infections respiratoires sont des facteurs de décompensation d’autres pathologies : insuffisance cardiaque, rénale, hépatique. Il faut donc surveiller cliniquement et adapter les thérapeutiques.
L’alitement induit par le sepsis est un facteur de développement de thrombose veineuse profonde. La prévention par héparine de bas poids moléculaire sera donc assez facile chez le patient hospitalisé ou en institution. Plus généralement, les soins de nursing seront renforcés pour éviter les autres complications de décubitus.
Beaucoup de pneumopathies communautaires n’auront besoin d’aucune aide respiratoire, il suffit juste de limiter les efforts le temps de l’affection.
L’oxygénothérapie par voie nasale est classique chez le patient hospitalisé, et nécessaire dès qu’une hypoxie profonde est retrouvée sur les gaz du sang ou si la saturation est perturbée. Elle sera adaptée chez l’insuffisant respiratoire pour corriger l’hypoxie sans aggraver l’hypercapnie. Des dispositifs de lunettes à oxygène améliorées existent afin de délivrer des débits bien supérieurs.
La ventilation non invasive n’a pas encore montré une grande efficacité à la phase initiale d’une pneumopathie et reste indiquée au cas par cas en réanimation. On voit néanmoins une amélioration des malades en détresse respiratoire aiguë avec un tableau mixte (entre OAP et pneumopathie), rien qu’avec la CPAP de Boussignac. Est-ce l’amélioration de l’insuffisance ventriculaire gauche uniquement ou un résultat supérieur à l’oxygénothérapie lié à la PEP ?
La VNI reste fondamentale chez le BPCO en hypercapnie.
La VNI avec CPAP est aussi accusée d’interférer en cas d’expectoration et donc d’aggraver l’infection et d’augmenter le besoin récurrent d’aspirations.
Les pneumonies sévères avec insuffisance respiratoire feront recourir à l’intubation trachéale et la ventilation mécanique.
La prise en charge des pneumopathies communautaires sans signes de gravité est assez stéréotypée : choix entre suspicion de PFLA ou pneumonie à germes atypiques :
Les céphalosporines de 3ème génération orales et parfois injectables (ceftriaxone disponible en ville) sont assez souvent utilisées avec des résultats finalement assez variables. En hospitalier les C3G injectables font partie de l’arsenal thérapeutique souvent en association.
Selon les classes de Fine :
Classe I à III : pneumopathie communautaire non grave de l’adulte sain : 7 à 14 jours de traitement
Classe IV : hospitalisation sans soins intensifs
Classe V : réanimation
Sur terrain à risque ou comorbidité le choix se porte plus sur l’association amoxicilline-acide-clavulanique ou les C3G injectables (en cas d’allergie aux béta-lactamines : clindamycine + oflo/ciprofloxacine si suspicion d’inhalation).
Les pneumopathies nosocomiales :
Pour quasiment tous ces schémas la durée de traitement est de 7 à 14 jours, sauf en cas de Mycoplasme ou de Legionelle, de 14 à 21 jours.
En cas de neutropénie fébrile : ceftazidime ou pipéracilline-tazobactam + amikacine ou isépamicine ou ciprofloxacine + voriconazole si suspicion d’Aspergillus +/- glycopeptide / imipénem ou cefpirome ou céfépime + amikacine ou isépamicine ou ciprofloxacine +amphotéricine B si suspicion d’Aspergillus +/- glycopeptide. La durée de traitement est indéterminée.
Ci-joint sur les recommandations de l’ex AFFSAPS harmonisées avec la SPILF et SPLF :
Le tableau regroupe les choix thérapeutiques possibles en fonction du micro-organisme suspecté :
|
Organisme |
1ère intention |
2ème intention |
|
Pneumocoque sensible |
pénicilline G, amoxicilline |
macrolides, céphalosporines, clindamycine, doxycycline, fluoroquinolones |
|
Pneumocoque résistant |
sur la base de la sensibilité |
vancomycine, linezolide, amoxicilline forte dose si CMI < 4 |
|
Staphylocoque méti S |
pénicilline antistaphylococcique |
céfazoline, clindamycine |
|
Staphylocoque méti R |
vancomycine, linezolide |
triméthoprime-sulfaméthoxazole |
|
Haemophilus non β lactamase |
amoxicilline |
fluoroquinolones, doxycycline, azithromycine, clarithromycine |
|
Haemophilus β lactamase + |
céphalosporines 2 ou 3, amox-clav |
fluoroquinolones, doxycycline, azithromycine, clarithromycine |
|
Mycoplasme |
macrolides, tétracycline |
fluoroquinolones |
|
Chlamydia pneumoniae |
macrolide, tétracycline |
fluoroquinolones |
|
Légionelle |
fluoroquinolones, azithromycine |
doxycycline |
|
Chlamydia psittaci |
tétracyclines |
macrolides |
|
Coxiella |
tétracyclines |
macrolides |
|
Tularémie |
doxycycline |
gentamicine, streptomycine |
|
Peste |
streptomycine, gentamicine |
doxycycline, fluoroquinolones |
|
Anthrax |
ciprofloxacine, lévofloxacine, doxycycline |
autres fluoroquinolones, β-lactamines si sensible, rifampicine, clindamycine, chloramphénicol |
|
Entérobactéries |
céphalosporines 3eg, carbapénème |
β-lactamines + Inhibiteurs des β-lactamases, fluoroquinolones |
|
Pseudomonas |
antipseudomonas β-lactamines plus ciprofloxacine, lévofloxacine ou aminoglycoside |
aminoglycoside plus ciprofloxacine ou lévofloxacine |
|
Coqueluche |
macrolides |
triméthoprime-sulfamethoxazole |
|
Anaérobies |
β-lactamines + Inhibiteurs des β-lactamases, clindamycine |
carbapénème |
L’efficacité se juge sur la réponse clinique en 48 et 72 heures. Un changement d’antibiothérapie avant ce délai (s’il n’y a pas de signes de gravité ou une suspicion forte de résistance bactérienne) n’est pas logique et entretient les mécanismes de résistance. Les antibiotiques ont une action assez lente et on ne peut pas réellement juger de leur efficacité. C’est aussi pour cette raison qu’en cas de sepsis sévère, il faut les débuter très tôt.
L’utilisation d’antalgiques, d’antipyrétiques, de bronchodilatateurs se fait en fonction des besoins.
Pour les patients hospitalisés, notamment en réanimation, l’aspiration bronchique et le positionnement cherchent à favoriser le drainage et éviter les atélectasies. Dans cette optique la mobilisation précoce, une bonne hydratation et nutrition cherchent à créer un milieu propice pour combattre l’infection et obtenir une guérison rapide.
L’hydratation intraveineuse utilisant plutôt des cristalloïdes à la phase initiale doit être généreuse, d’autant plus qu’un sepsis sévère s’installe, mais attention à la surcharge volémique en cas d’antécédents cardiaques.
L’utilisation de corticostéroïdes reste toujours un peu controversée lors d’un choc septique, elle est recommandée quand le remplissage et les vasopresseurs ne corrigent pas l’hypotension, pour dépister une insuffisance surrénalienne occulte. Ils sont aussi utilisés facilement à visée anti-inflammatoire respiratoire, pour limiter un bronchospasme chez le BPCO.
La kinésithérapie respiratoire est utile chez le sujet conscient et surtout chez l’insuffisant respiratoire.
La guérison se juge sur l’amélioration clinique, quand l’imagerie s’améliore toujours plus tardivement. Pour le pneumocoque : résolution de la toux en 8 jours, des crépitants en 3 semaines, pour les images radiologiques beaucoup plus tard et dépendant de l’âge (4 semaines chez les patients jeunes, 12 semaines si patient âgé, si pathologie sous-jacente).
L’absence de réponse pose un dilemme : autre organisme ou résistance bactérienne, complication (abcès, empyème) voire diagnostic différentiel cardiaque ou tumoral.
Les pneumopathies secondaires à une obstruction par tumeur ou corps étranger peuvent ne pas disparaitre radiologiquement.
L’évaluation des pneumopathies persistantes passe par le scanner, la bronchoscopie, éventuellement les biopsies scano-guidées, la chirurgie par thoracoscopie et thoracotomie.
Destruction du parenchyme pulmonaire avec cicatrices, bronchiectasies, pneumonie nécrosante, cavitation, empyème , détresse respiratoire et SDRA, surinfection, méningite, choc septique, décès.
La pneumopathie organisée est un mode de guérison « naturel » des pneumopathies infectieuses. Elle a été décrite initialement après les pneumopathies à pneumocoques. Elle peut nécessiter un traitement pour son propre compte en cas de persistance et si elle est symptomatique (fièvre, syndrome inflammatoire persistant, hypoxémie).
Elle vise la réduction d’épisodes de pneumopathie chez le sujet fragile et âgé, au moyen du vaccin anti-grippal (pour diminuer le nombre de surinfections bactériennes des pneumopathies grippales) et du vaccin anti-pneumococcique.
Pneumopathies communautaires de l’adulte , SFAR
Pages des recommandations de la SPILF , Prise en charge des infections des voies respiratoires basses de l’adulte immunocompétent 2006 , Antibiothérapie par voie générale dans les infections respiratoires basses de l’adulte 2010, Légionellose 2011, SPILF
Pneumopathies aiguës infectieuses chez l’immunodéprimé en dehors du Sida , SLRF
Les infections respiratoires basses de l’adulte : aspects cliniques , STPI
Pneumonies aiguës communautaires de l’enfant
Infections broncho-pulmonaire de l’enfant
Pulmonary infection , lobar pneumonia , aspiration pneumonia , atypical pneumonia , round pneumonia , Radiopaedia
Evaluation of lung ultrasound for the diagnosis of pneumonia in the ED
Evidence-based treatment for severe community-acquired pneumonia , Pulmcrit
Lung Ultrasound in Evaluation of Pneumonia
Infections bronchopulmonaires de l’adulte, présentation
Telithromycine, Prescrire
Pneumopathies infiltrantes d’origine infectieuse 2012 (présentation)
Pneumopathies infectieuses du sujet âgé 2009 présentation
Pneumocystose pulmonaire en dehors de l’infection à VIH
Pneumonie à Pseudomonas
pneumonie à Cytomegalovirus
pneumonie à Cryptococus neoformans
Bonjour , Après un Scanner le 10/01/2018 , il est indiqué en conclusion : Sepsis pulmonaire lobaire inferieur gauche . Es une pneumonie ? Dans l’attente d’une réponse , veuillez recevoir mes salutations .
Oui vraisemblablement, sepsis voulant dire infectieux, même si le décrire de cette façon sur un scanner n’est pas classique. L’imagerie médicale analyse des … images, c’est le principe ! Mais la conclusion de l’origine de la pathologie relève du ou des cliniciens. En cela le scanner peut conclure à « image de condensation alvéolaire retrouvée dans le territoire lobaire inférieur gauche du poumon. En fonction du contexte clinique, une origine infectieuse par pneumonie est plausible ». Voilà la nuance même si en pratique, on peut souvent faire des raccourcis plus importants. Cette subtilité est importante parce qu’un infarctus pulmonaire post embolique ou une contusion pulmonaire post traumatique peuvent donner des images très ressemblantes alors que le contexte est complètement différent.