
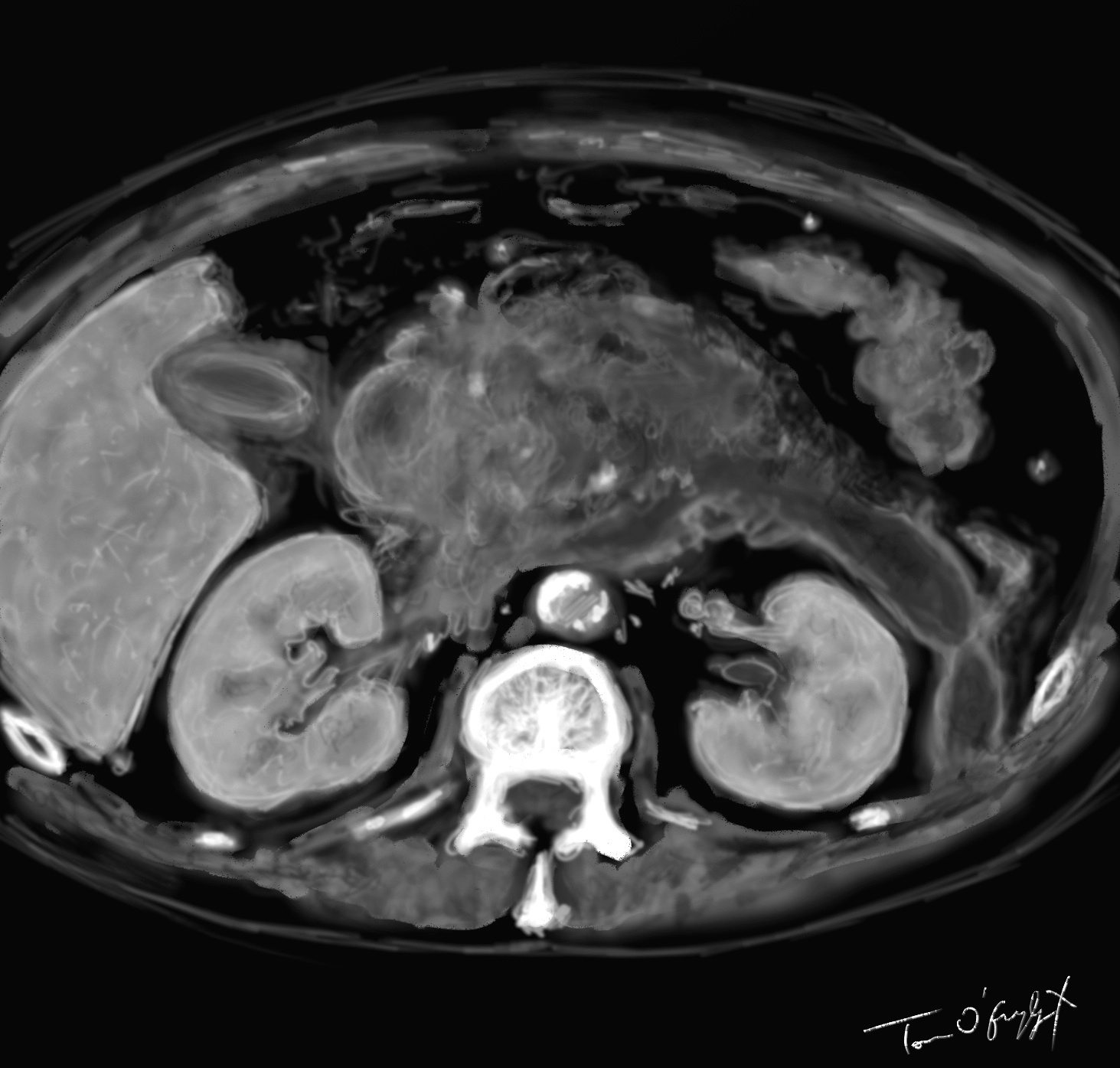
scanner de pancréatite aiguë nécrosante stade E avec importante réaction oedémateuse et coulée de nécrose
La pancréatite aiguë est l’atteinte inflammatoire rapide et potentiellement destructrice du pancréas. On distingue des formes modérées où la régression des symptômes se fait lentement sans séquelles et des formes graves où le pronostic vital peut être engagé qu’on appelle aussi pancréatite aiguë hémorragique ou nécrosante.
Le diagnostic clinique est simple devant un épisode douloureux abdominal chez un patient qui a un antécédent de pancréatite aiguë ou de lithiase biliaire. Il est moins évident devant un premier épisode, surtout si un facteur déclenchant (consommation d’alcool) est nié. Les signes cliniques sont surtout des signes fonctionnels et il n’y a pas de pancréatite aiguë silencieuse, il existe toujours une douleur abdominale souvent intense (parfois pas forcément clairement manifestée sur certains terrains). On trouve aussi fréquemment une anorexie, des nausées, des vomissements, des signes d’intolérance alimentaire, parfois déjà des signes de déshydratation.
Les signes objectifs d’examen sont assez aléatoires, on peut percevoir une défense dépassant facilement l’épigastre plutôt sus-ombilicale, ou en tous cas une douleur provoquée à la palpation de cette région. Plus la réaction à la palpation est importante et plus on s’oriente déjà vers des complications type coulées de nécrose avec réaction péritonéale. Il est évident que sur certains ventres pléthoriques, l’examen clinique est particulièrement malaisé.
Il ne faut plus espérer trouver les classiques signes d’examen tels que le signe de Gray Turner (ecchymose des flancs), le signe de Cullen (ecchymose péri-ombilicale), ces 2 signes étant dûs à l’extravasation sous-cutanée d’un hématome rétropréritonéal ou d’un exsudat pancréatique (donnant alors un simple érythème) ni des nodules sous-cutanées érythémateux sur les zones d’extension en panniculites, plus ou moins associées à une polyarthrite. Ces signes ont été décrits dans des pancréatites sévères.
La lithiase biliaire et l’alcool se partagent la grande majorité des étiologies. Les autres causes peuvent être :
Les complications pancréatiques comportent les coulées de nécrose et l’infection de la nécrose (à partir de la 2e-3e semaine), la formation d’abcès et de pseudo-kystes.
Les complications locales par contiguité comprennent l’ascite, l’épanchement pleural, la colite aiguë par infiltration pancréatique, des atteintes vasculaires (thrombose de la veine splénique, pseudoanévrisme de l’artère splénique), un syndrome compartimental abdominal.
Les complications générales sont marquées par le choc et la défaillance multi-viscérale (insuffisance rénale, CIVD, SDRA …).
Les éléments d’appréciation de la gravité d’une pancréatite sont de 3 ordres : évaluation du terrain, score pronostic biologique et facteurs cliniques de défaillance d’organes.
Le diagnostic différentiel se fait avec l’ulcère gastro-duodénal en poussée, la perforation d’un viscère creux, la cholécystite, l’angiocholite, la fissuration d’anévrisme de l’aorte abdominale, l’ischémie mésentérique, l’occlusion intestinale, voire des affections thoraciques à présentation atypique comme l’infarctus du myocarde, la pneumopathie, des situations métaboliques, l’angioedème à bradykinine.
Le dosage de l’amylase sérique n’est plus utile au diagnostic, il est moins sensible et spécifique que la lipase dont l’élévation est également plus durable dans le temps. Elle est significative au-delà de 3 fois la normale (norme des laboratoires en général < 60). Son taux n’est pas forcément corrélé à la sévérité de la pancréatite mais on observe quand même avec plus de surveillance les lipases > 10 fois la normale, que des élévations transitoires au décours d’une autre affection biliaire.
Le score de Ranson à l’admission cherche à établir un indice de gravité :
Au-delà de 12h et jusqu’à 48h d’autres critères s’ajoutent :
En fait le score de Ranson n’est plus tellement appliqué puisqu’il n’est pas calculable d’entrée de jeu. Le score d’Imrie reprend sensiblement les mêmes éléments mais avec des valeurs seuils + basses pour les ASAT et + haute pour la LDH, ainsi que la baisse de l’albuminémie. Le score APACHE II est le plus étudié mais il est complexe.
Le score BISAP se base sur :
Un point par item, ceci aboutissant dès que le score > 2 à un risque x 7 de défaillance et x 10 de décès. En rêgle générale, l’élévation de l’urée, de la créatinine et de l’hématocrite témoignent d’une hypovolémie d’une PA sévère.
Il semblerait que le ratio nombre de polynucléaires neutrophiles sur nombre de lymphocytes soit un indice de pancréatite aiguë sévère. La CRP ne fait pas partie des scores pronostiques mais > 150 elle indique un caractère de sévérité certain sans pour autant permettre de trier entre infection ou nécrose stérile. La pro-calcitonine devrait être un meilleur indicateur des infections secondaires mais n’est pas disponible partout.
Le trypsinogène de type 2 mesuré sur bandelette urinaire réactive pourrait être utilisé pour éliminer rapidement l’hypothèse d’une pancréatite aiguë du fait d’une haute valeur prédictive négative.
La distinction entre forme bénigne et grave n’est pas forcément aussi évidente meme avec l’aide de ces scores. On considère donc aussi des formes intermédiaires.
L’abdomen sans préparation n’a pas d’intérêt dans la pancréatite aiguë. Il peut ne rien montrer du tout ou juste des niveaux hydro-aériques liés à une occlusion du grêle en iléus réflexe. Les calcifications centrales liées à une pancréatite chronique n’ont pas de réel poids diagnostique.
L’échographie n’est pas un examen idéal dans la pancréatite, car vu sa position anatomique le pancréas est difficilement visualisable, surtout si des anses digestives s’interposent. L’évaluation échographique du pancréas ne peut répondre s’il est inflammé ou pas et les images des complications kystiques sont difficiles à appréhender. Mais elle n’est pas invasive, peut être refaite, est capable de visualiser un épanchement péritonéal. En échographie FAST aux urgences, elle peut être rapidement réalisée pour faire le 1er bilan d’un abdomen aigu.
Elle peut donner de bons résultats chez des patients maigres, retrouver une origine biliaire, permettre d’éliminer une atteinte vésiculaire associée. En pathologie biliaire, elle est limitée car l’exploration de la voie biliaire principale est vite interrompue et ne peut donc visualiser un calcul cholédocien que dans peu de cas. Il faut dans ces cas envisage une écho-endoscopie en milieu gastro-entérologique. Elle est difficile aussi car pour une bonne visualisation il faut pouvoir comprimer un peu la sonde sur l’abdomen pour éliminer l’air digestif qui s’interpose, et c’est donc douloureux.
Globalement c’est un examen utile quand on a pas accès facilement au scanner. Elle reste opérateur-dépendant, de sa technique et … de son bon-vouloir.
Le scanner est devenu la pierre angulaire de la prise en charge diagnostique de la gravité et des complications, mais il n’est pas exempt de défauts. La conférence de consensus de 2001 réactualisée considère que la TDM n’est pas à réaliser en urgence si le diagnostic est fait sur des critères cliniques et biologiques. Au mieux réalisée à J3, elle permet par l’utilisation de la classification de Balthazar d’établir un pronostic sur l’évolution. Les recommandations repoussent même encore au-delà les indications, à savoir pas de scan sur une pancréatite aiguë de gravité faible (car évolution favorable en 72h), et de le réserver à partir de gravité intermédiaire et élevée. Elles conseillent la réalisation dans les 5 à 7 jours d’évolution ou dès le départ quand il y a un doute diagnostique. Certaines images d’infiltration liquidienne à la phase initiale peuvent en imposer pour des images de nécrose, alors qu’elles vont régresser après quelques jours, surévaluant la gravité de la PA.
Malgré la conclusion de cette conférence de consensus, il apparait difficile de ne pas réaliser une imagerie précoce pour cette maladie pour 2 raisons : l’imagerie tend à pallier la faiblesse de l’examen clinique : la palpation de l’abdomen ne sert quasiment à rien, on a toujours l’impression d’une défense incomplète et on hésite tant qu’on a pas la biologie. L’autre raison serait la connaissance précoce d’une complication de la pancréatite permet de renforcer la surveillance voire le passage en réanimation des formes qui risquent de se compliquer. Mais il semblerait bien que les images scanographiques mettent du temps à se former, sans doute en lien avec l’évolution destructrice de la pancréatite.
Il existe aussi une autre donnée, qui influencerait à faire la TDM précocément, et ce n’est pas une bonne chose : à l’heure actuelle il est difficile de faire hospitaliser un patient pour une pancréatite sans scanner initial et ces patients ne tirent aucun bénéfice à être surveillés en unité d’hospitalisation des urgences qui n’a pas les mêmes moyens qu’une réanimation. Il n’en reste pas moins que cette imagerie initiale devra être recontrôlée dans les premiers jours de traitement ce qui pose aussi le problème d’une irradiation répétée.
Le score scanographique de Balthazar classe en 5 stades l’évolutivité :
L’évaluation de la taille de nécrose (0 : défaut de rehaussement du parenchyme, < 30 %, 30-50 %, > 50 %) compte aussi.
L’écho-endoscopie a pour but le diagnostic d’une forme biliaire dont l’origine n’a pas encore été retrouvée. Elle précède parfois systématiquement la réalisation d’un cathétérisme rétrograde.
L’IRM n’est pas un examen d’urgence dans ce contexte mais les images d’IRM ont certainement leur place dans le bilan de l’évolution et des complications d’une pancréatite aiguë.
Il se fait la plupart du temps en hospitalisation. Le jeûn permet la mise au repos du tube digestif ce qui est souvent bénéfique dans les 48 premières heures. Secondairement la reprise de l’alimentation pourra être tentée. Il n’y a pas lieu de mettre en place une alimentation parentérale si le jeûn a été > 7 jours.
Il était classique de prescrire une sonde nasogastrique en aspiration. Si elle reste indiquée en cas de vomissements et d’occlusion, elle n’est sans doute pas utile dans les formes modérées et contribue plutôt à l’inconfort du malade.
La réhydratation parentérale est par contre fondamentale pour compenser les pertes liquidiennes possibles. Elle n’a cependant pas d’effet positif passé un certain volume perfusé voire des effets délétères par syndrome compartimental abdominal ou oedème pulmonaire (lié au fait que les volumes perfusés diffusent et ne restent pas dans le secteur vasculaire). On conseille un volume entre 2,5 et 4 l lors des premières 24h (grossièrement 125 ml/h de cristalloïdes, en particulier le Ringer Lactate, ce qui est moins que le débit annoncé par l’American Gastrointestinal Association dans ses recommandations de 2013).
Il n’y a pas de traitement curatif des pancréatites d’origine alcoolique. La plupart des traitements visant à corriger le mécanisme physiopathologique n’ont pas fait leur preuve. Il est classique d’associer un inhibiteur de la pompe à protons sur un risque d’hémorragie gastro-duodénale de stress.
Concernant les pancréatites biliaires, le traitement interventionnel n’a pas pour but de guérir la pancréatite mais de limiter son extension en désobstruant la partie terminale du canal pancréatique de Wirsung ou en cas d’atteinte cholédocienne associée type angiocholite. C’est une sphinctérotomie endoscopique par cathétérisme rétrograde qui se pratique dans les 72 h en général. A noter qu’il existe aussi une pancréatite iatrogène post KT rétrograde.
Les pancréatites rares n’ont pas forcément de traitement étiologique spécifique non plus, puisque pour les PA infectieuses, beaucoup sont virales. La corticothérapie est utilisée dans les pancréatites auto-immunes. La pancréatite par hypertriglycéridémie est traitée au minimum par fibrates et nécessite parfois des échanges plasmatiques répétés.
Le traitement antalgique des pancréatites est un gros problème. D’une part cette affection fait mal durablement, et il faut utiliser des antalgiques intraveineux ce qui limite forcément la pharmacopée. Le palier 1 ne peut être utilisé qu’en co-analgésique avec le paracétamol (en surveillant la fonction hépatique chez le cirrhotique). Les AINS et l’aspirine sont contre-indiqués. Le tramadol a une action trop faible dans ce contexte, et nécessiterait l’administration de surdoses pour être efficace. La morphine reste donc le seul antalgique efficace à utiliser mais elle a longtemps été décrite comme arme à double tranchant puisqu’entrainant un spasme du sphincter d’Oddi (ce qui n’est pas prouvé). Ceci a amené à soit sous traiter la douleur des pancréatites (avec une problématique complexe et inutile dans les pancréatites alcooliques type souffrance-rédemption), soit à utiliser d’autres produits plus risqués comme la lidocaïne intra-veineuse à dose de 1 à 2 g/24h. Cette dernière n’est plus recommandée au vu de ses effets indésirables possibles (convulsions).
L’antibiothérapie est souvent utilisée en prévention d’une surinfection des coulées de nécrose. Elle n’est pas prouvée être utile dans toutes les pancréatites. En prévention de la surinfection elle n’est sans doute pas infaillible et pose le problème d’une sélection des germes voire le développement de levures dans les coulées de nécrose. Curative elle est nécessaire en cas d’infection prouvée et en complément d’un geste chirurgical de drainage (ou en cas d’angiocholite et choc septique). Le choix de l’antibiotique est difficile du fait de la mauvaise pénétration dans le parenchyme pancréatique malade et de la difficulté à couvrir les germes responsables des surinfections. Les antibiotiques utilisables sont l’imipénème, la ciprofloxacine et le céfotaxime, en association en bithérapie avec le métronidazole.
La chirurgie était un traitement de dernier recours des formes graves de pancréatites mais les résections précoces n’ont jamais prouvé d’efficacité. A l’heure actuelle, la nécrose stérile ne doit pas faire l’objet systématiquement d’une exérèse mais la nécrose infectée doit être drainée, soit de manière percutanée avec des drains de gros calibre soit par nécrosectomie et lavage continu. Ceci doit être prouvé préalablement par une ponction à l’aiguille fine sous guidage TDM, et mise en culture du prélèvement. La voie endoscopique transgastrique peut aussi être utilisée pour drainer la nécrose. En rêgle générale, la chirurgie ne doit pas intervenir avant 1 mois et essais des différentes méthodes de drainage moins invasives.
Les complications comme les pseudo-kystes compressifs peuvent être réséqués par chirurgie après une période d’observation car la régression est assez fréquente. Les fistules pancréatiques sont traitées par nutrition parentérale prolongée, parfois par des systèmes de prothèses perendoscopiques ou drains nasopancréatiques.
La prévention d’une récidive biliaire passe généralement par la programmation de l’ablation de la vésicule biliaire (cholécystectomie). Bien qu’elle ne puisse empêcher complètement une récidive puisqu’on voit aussi des pancréatites à distance d’une cholécystectomie, certains patients ayant une bile très lithogène ou épaissie à mauvais écoulement (équivalent aux sludge vésiculaire).
Le dosage facile de la lipase devant des signes abdominaux frustres chez un patient ayant un antécédent de pancréatite peut permettre de détecter tôt une nouvelle poussée.
La prévention de la pancréatite alcoolique passe par l’abstinence de consommation d’alcool.
Elle reste de toutes façons difficile.
Radiopaedia : Acute pancreatitis , et Pseudocyst
Pancréatite aiguë, Conférence de consensus SFAR, Texte court
Acute pancreatitis & Acute pancreatitis imaging sur Medscape
Piton G, Capellier G, Desmettre T, Prise en charge d’une pancréatite aiguë aux urgences, SFMU Urgences 2014
Montravers Ph, Benbara A, Chterev V, Augustin P, Pancréatites aiguës, dossier de la SFAR
Prise en charge des pancréatites, Bilan diagnostique et utilisation des antibiotiques , Les 10 choses à faire et à ne pas (plus) faire devant une pancréatite aiguë ,
PDF de présentation sur le site de l’université de Rennes avec quelques images de scanner , FMC Gastro
Barthet M, Pancréatites aiguës, PDF cours de DCEM 2, faculté de médecine de Marseille
Quelles sont les causes rares d’une pancréatite aiguë ? , Hepatoweb
The myth of large-volume resuscitation in acute pancreatitis , Pulmcrit
Et pour le fun 4 articles des années 70 de John H.C. Ranson à consulter sur Pubmed Central :
Early respiratory insufficiency in acute pancreatitis
Respiratory complications in acute pancreatitis
The role of peritoneal lavage in severe acute pancreatitis
The timing of biliary surgery in acute pancreatitis
échographie au cours d’une pancréatite aiguë hémorragique
écho-endoscopie dans une pancréatite aiguë récidivante
nécrosectomie par voie endoscopique transgastrique
laparoscopie découvrant une pancréatite aiguë
nécrosectomie chirurgicale vidéo-assistée
a ajouter dans les origines génétiques: Mucoviscidose
La liste des étiologies possibles est longue et forcément ici elle n’est pas exhaustive. Ce que je mettais en avant c’est le fait que devant un patient adulte sans antécédents particuliers, les causes les plus probables étaient d’abord une pancréatite alcoolique ou biliaire. Ensuite venaient les étiologies secondaires qui représentent seulement 10 % des cas.
La mucoviscidose est un diagnostic généralement fait dans l’enfance et conduisant à une insuffisance pancréatique et un diabète plutôt qu’à une pancréatite aiguë comme on peut en rencontrer aux urgences. Elle se complique dans quelques cas d’hépatopathie chronique et de lithiase vésiculaire qui peut se compliquer mais plutôt en cholécystite et angiocholite. Dans ce cas pourquoi pas en pancréatite mais cela rejoint les étiologies biliaires.
J’ajoute une 2e réponse à votre commentaire au vu d’informations + récentes que j’ai eu sur le sujet.
Contrairement à ce que je pensais et à la recherche bibliographique que j’ai fait pour ce sujet il y a bien un lien existant entre mucoviscidose et pancréatite aiguë.
Je vous dis tout de suite qu’on sort de mon domaine de compétence et qu’on commence à aller vers une spécialité, voire une surspécialité.
La pancréatite aigüe est plus fréquente chez les patients atteints de mucoviscidose que dans la population générale mais pour autant elle reste rare et surviendrait (d’après ce que j’ai compris) chez des patients qui ne sont pas en insuffisance pancréatique. Aussi elle peut faire partie de la liste des origines devant une pancréatite aiguë du sujet jeune.
La lithiase biliaire pigmentaire qui est fréquente dans la mucoviscidose se compliquera plutôt de cholécystite et angiocholite.
Pancreatitis among patients with cystic fibrosis : correlation with pancreatic status and genotype
désolé mais on m’a toujours dit que c’était la succession de pancréatite qui engendrait/aggravait l’insuffisance pancréatique dans la muco
Désolé mais je ne pourrai pas répondre plus sur le sujet, cela sort vraiment de mon domaine de compétences
Dans le score de Ranson, les LDH à 350 ça fait beaucoup ! C’est plutôt 1.5x la normale
je vois que vous avez corrigé après ce commentaire, mais effectivement ce n’est pas le seuil de valeur supérieur, mais bien le seuil à partir duquel l’élévation est un signe de gravité