L’épanchement pleural ou pleurésie, est l’accumulation pathologique de liquide dans la cavité pleurale, autour des poumons. Celle-ci est virtuelle à l’état physiologique, ne comportant à peine que quelques gouttes de liquide produit par la plèvre. La nature du liquide dépend de l’étiologie responsable de la production en excès : ultrafiltrat liquidien quasi pur, liquide riche en protéines, en cellules pathologiques, sang …
La reconnaissance des épanchements peut être difficile au début du processus puisque l’examen clinique peut ne pas permettre de le différencier d’un autre processus pulmonaire pathologique. La plupart des épanchements abondants rencontrés posent le problème de la récidive de la pleurésie pour laquelle des solutions invasives existent. Le processus est en général lent, transsudats comme exsudats, mais l’abondance de l’épanchement peut, en particulier si le poumon sous-jacent est pathologique, entrainer une détresse respiratoire ou à l’extrême un collapsus par compression.
Sommaire
Les signes généraux comportent fièvre, altération de l’état général, pâleur. Les signes pulmonaires en relation sont la dyspnée, la douleur thoracique latéralisée « pleurale » augmentée à l’inspiration profonde et irradiant à l’épaule homolatérale ou l’abdomen, la toux (déclenchée par les changements de position), l’expectoration et sa couleur (purulente, hémoptoïque).
Globalement les symptômes sont perceptibles pour des épanchements > 300 ml, et plus l’épanchement est faible plus il est douloureux, plus il est important plus il est dyspnéïsant.
Des signes d’intolérance hémodynamique sont possibles dans les épanchements de gros volume compressifs ou en relation avec une déglobulisation ou un choc septique.
Les signes de détresse respiratoire sont présents dans les épanchements compressifs ou quand le poumon est pathologique engendrant hypoxie et hypercapnie, diminution de la SaO2.
Le contexte est important : existence d’une néoplasie, de facteurs de risque alcoolo-tabagiques, d’une maladie auto-immune, d’une immunodépression, la prise d’anticoagulants, des antécédents cardiaques, une insuffisance rénale, un traumatisme thoracique avec fracture costale …
Cliniquement l’épanchement engendre une diminution du murmure vésiculaire à l’auscultation mais on observe de plus en plus ce signe chez les patients jeunes dès qu’il y a une hypoventilation du poumon pathologique (pneumonie débutante, pneumothorax partiel ou tout simplement douleur intercostale). Le souffle pleurétique peut parfois encore être entendu à la limite supérieure de l’épanchement par condensation pulmonaire. A la percussion il existe une matité, une diminution des vibrations vocales.
Transsudat :
Exsudat :
L’ECG n’est pas contributif au diagnostic spécifique d’épanchement pleural, mais il peut être modifié avec microvoltage dans les dérivations précordiales en cas de volumineux épanchement pleural gauche.
Dans les étiologies cardiaques notamment avec décompensation cardiaque gauche, l’ECG est modifié en fonction de la pathologie cardiaque à l’origine de l’insuffisance cardiaque : fibrillation et flutter auriculaire, troubles du rythme ventriculaire, ischémie-lésion et nécrose, troubles de repolarisation +/- spécifiques, blocs de branche, …
Certaines péricardites comportent un petit épanchement pleural aussi en pleuro-péricardite, les signes ECG sont ceux d’une péricardite sèche plus que d’une tamponnade.
La description radiographique est celle d’une opacité pleurale (donc blanche), homogène, dense, commençant à la base du thorax effaçant l’angle costo-diaphragmatique et se prolongeant vers le haut par une ligne bordante axillaire à limite concave en haut et en dedans. Un cliché en décubitus latéral du côté atteint peut être utile sur les petits épanchements du cul-de-sac pleural.
Dès que l’épanchement est assez abondant, le parenchyme pulmonaire sous-jacent est écrasé, entrainant une atélectasie puis un refoulement du médiastin du côté opposé. Au maximum l’épanchement donne un aspect de poumon blanc à la radio, constituant un hydrothorax.
La radiographie n’est pas toujours possible à obtenir debout chez un patient très altéré ou très dyspnéïque, de ce fait les clichés radio demi-assis sont pires en position couchée et donnent une image très mal limitée des épanchements, voire, passent à côté.

épanchement pleural mal limité et oedème pulmonaire par surcharge hydrique iatrogène, radiographie faite assis
Tout épanchement pleural n’est pas forcément uniforme dans la cavité pleurale, des collections et des poches peuvent se former. C’est particulièrement le cas des pleurésies purulentes et des empyèmes. Les images sont des opacités à limites nettes venant de la plèvre, sans tracer une courbe de Damoiseau, avec des épanchements interlobaires, ou encore de fausses surélévations de coupoles diaphragmatiques pour les collections sous-pulmonaires.

classification des aspects d’un épanchement pleural en échographie A anéchogène B complexe non cloisonné C complexe cloisonné D homogène échogène
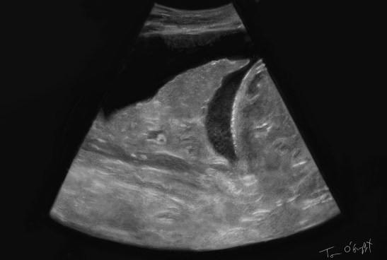
Elle est très sensible pour le diagnostic d’épanchement pleural et le visualise nettement avant la radiographie thoracique (un peu sur le mode de la pneumopathie infectieuse). Elle visualise même la fluidité du liquide pleural quand il est totalement anéchogène. Elle permet donc immédiatement la distinction des différentes causes de poumon blanc radiologique (quand le déplacement médiastinal et trachéal n’est pas évident sur la RP). Il y a cependant toujours des corps flottants dans le liquide, en réglant le gain sur une image très claire, on peut clairement les voir, réalisant le signe du plancton.
Il n’y a pas forcément besoin de pratiquer l’échographie pulmonaire en tant que telle pour voir un épanchement, le positionnement de la sonde en RUQ et LUQ pour l’échographie FAST des polytraumatisés permet de les visualiser au-dessus du diaphragme. Dans cette vue, au bas de l’image on peut voir la ligne accidentée de la colonne vertébrale hyperéchogène, normalement non visible dans l’artefact aérique que constitue le poumon normal.
Le volume de l’épanchement peut être évalué sommairement en écho, d’abord « à l’oeil », puis par différentes méthodes, notamment en mesurant la distance entre le mur thoracique postérieur et la base du poumon. Pour cela il faut placer la sonde très postérieure regardant vers l’avant (PAPLS point), et plutôt se positionner en coupe transversale. On choisit la distance la plus éloignée entre la paroi et le poumon et on multiplie le chiffre obtenu en mm par 20 pour obtenir un volume approximatif en ml.
L’épanchement n’est pas toujours fluide et comporte parfois des septas créant ainsi différentes poches et collections.

épanchement cloisonné avec septas entre la base des poumons et le diaphragme. Consolidation pulmonaire avec artefact en queue de comète (pas une ligne B car ne venant pas de la ligne pleurale)
Enfin, mais ce n’est pas le propos en urgence, l’effusion réalisant une fenêtre acoustique intéressante, le poumon sous-jacent et le diaphragme peuvent être analysés (consolidation d’une pneumonie, atélectasie, masse pleurale).
En échographie cardiaque, on peut parfois confondre un épanchement péricardique et un épanchement pleural, la différence se notant par rapport à la position de ce croissant anéchogène vis à vis de l’aorte thoracique (plus postérieur pour l’épanchement pleural).
Utile pour les épanchements complexes, collectés, les empyèmes avant drainage, dans le bilan d’un hémothorax traumatique ou lors d’une suspicion d’embolie pulmonaire. Dans les autres épanchements, la compression du parenchyme pulmonaire homolatéral risque de ne donner que très peu de renseignements sur le poumon si l’atteinte n’est pas bilatérale, et il est plus utile dans un bilan de 2de intention après drainage.
Le scanner reste inférieur à l’échographie pour l’analyse des épanchements avec septa car il ne visualise pas de différence de densité entre le liquide et le septa lui-même.
Aucune biologie n’est spécifique d’un épanchement de la plèvre. Mais certains dosages peuvent orienter vers l’étiologie :
Le plus simple pour savoir précisément de quoi il s’agit c’est bien sûr d’analyser le liquide pleural lui-même. C’est très souvent possible pour les épanchements visibles sur la radiographie de thorax. Les petits épanchements seulement visualisables en échographie ou au scanner peuvent en cas de besoin diagnostique important être ponctionnés sous visualisation échographique directe ou après repérage et marquage de la zone de ponction.
| Transsudat | Exsudat | |
|---|---|---|
| Apparence | séreux fluide | épais |
| Leucocytes | < 10,000/mm3 | > 50,000/mm3 |
| pH | > 7.2 | < 7.2 |
| Proteines | < 30 g/L | > 30 g/L |
| Ratio proteines liquide pleural/serum | < 0.5 | > 0.5 |
| LDH | < 200 UI/L | > 200 UI/L |
| Ratio LDH liquide pleural/serum | < 0.6 | > 0.6 |
| Glucose | ≥ 60 mg/dL | < 60 mg/dL |
Les épanchements d’origine infectieuse (et devant tout liquide pleural ponctionné à but diagnostique) doivent être analysés en bactériologie avec examen direct, coloration de Gram et mise en culture pour antibiogramme, avec un prélèvement pour recherche de mycobactérie. L’aspect n’est pas toujours typique d’une pleurésie purulente, mais aussi sérofibrineuses dans les épanchements parapneumoniques.
Les épanchements de la pancréatite peuvent faire amener à doser l’amylase pleurale et sérique pour un rapport > 1. Les triglycérides et le cholestérol pleuraux peuvent être dosés dans un chylothorax.
En cas de globules rouges très nombreux, si le taux dépasse 100 hématies/ml, on peut doser l’hématocrite pour distinguer un hémothorax (> 20%) d’une pleurésie séro-hémorragique (< 20%).
Généralement le transsudat comporte même moins de 1000 cellules par ml. Les pleurésies peuvent être à prédominance de polynucléraires neutrophiles, de lymphocytes, d’éosinophiles.
Le traitement symptomatique associe l’oxygène et des antalgiques de manière non spécifique. La ventilation non-invasive n’a de place qu’en cas d’insuffisance cardiaque avec oedème pulmonaire important associé à l’épanchement, qui lui est alors secondaire. Dans ce cas on peut utiliser des diurétiques sous forme de furosémide 40 à 80 mg en IV.
Il est relativement rare de devoir recourir à l‘intubation trachéale et à la mise sous ventilation mécanique pour un épanchement pleural, hors contexte traumatique. En fonction de l’étiologie, l’amorce d’un remplissage vasculaire peut être tentée si une insuffisance cardiaque ou rénale est éliminée.
Les épanchements infectieux seront traités par antibiothérapie, après prélèvement bactériologique, par bétalactamine associé à un antibiotique dirigé contre les anaérobies (amoxicilline-acide-clavulanique ; céphalosporines 2e et 3e génération, chloramphenicol ?, carbapénèmes + clindamycine contre les anaérobies ; quinolone en cas d’allergie aux pénicillines ; vancomycine si staphylocoque suspecté ; ajout d’un aminoside si pyocyanique). L’antibiothérapie sera adaptée en fonction de l’antibiogramme.
En cas de pleurésie purulente, les doses peuvent être assez importantes et le traitement poursuivi 3 à 6 semaines.
La plupart des transsudats peu abondants peuvent être traités par le traitement de leur étiologie (cf décompensation oedémato-ascitique).
Elle a l’intérêt de pouvoir réaliser un prélèvement à visée diagnostique et de vider l’épanchement, mais elle n’empêche pas la reconstitution de l’épanchement. Il peut donc s’avérer nécessaire de ponctionner plusieurs fois un épanchement. On recommande généralement de ne pas évacuer plus d’ 1 l à 1,5 l par ponction pour éviter un oedème pulmonaire a vacuo.
La ponction peut être associée à un lavage au sérum physiologique 2 à 3 fois par jour dans les épanchements parapneumoniques, sous contrôle échographique et semble donner de bons résultats.
Certains épanchements devront être traités par drainage thoracique d’emblée, en particulier les empyèmes et les hémothorax. Les pleurésies métastatiques qui ont tendance à se reconstituer peuvent être drainées par un drain tunnelisé sous la peau, et traitées y compris à domicile par connection de la tubulure à des flacons sous aspiration pour réaliser des drainages itératifs sans reponctionner le patient.
Les épanchements parapneumoniques compliqués peuvent nécessiter un drainage car ils sont le siège d’une intense réaction inflammatoire et ils sont plus faciles à guérir par ponction-drainage au stade exsudatif qu’au stade organisé, fibrineux. Le ph < 7,20, le glucose < 0,40 g/l et la LDH > 1000 UI/l du liquide pleural peuvent inciter à un drainage.
Les drains de petits calibres 10 à 14 F paraissent suffisants dans la plupart des cas. La place des fibrinolytiques n’est pas claire.
La thoracoscopie a supplanté la thoracotomie pour le traitement des épanchements complexes et récidivants. Elle permet de faire une symphyse pleurale pour éviter les récidives des épanchements de grand volume et la décortication pleurale en cas d’épanchement parapneumonique collecté ainsi que l’ablation chirurgicale des brides. La pleurodèse se fait par instillation de différents produits dans la cavité pleurale (talc, bléomycine, doxycycline, …).
Pleurésie, application Urgences 1 clic
Prise en charge d’un épanchement pleural liquidien non traumatique aux urgences, SFMU 2011
ECN Item 276 : épanchements pleuraux
Pleurésie purulente , présentation vidéo SRLF 2007
Pleural effusion, analysis, pleural tap , Life in the fast lane
Pleural effusion, hemithorax white-out , Radiopaedia
Lung ultrasound – pleural effusion , ICEM Teaching
Pleural effusion , résultat de recherche sur Medscape
Pubmed pour « pleural effusion » et recherche sélective par images
Management of Pleural Effusion, Empyema, and Lung Abscess
Tension hydrothorax, an unrecognized danger
Diagnostic échographique de l’épanchement pleural
http://www.youtube.com/watch?v=X1E7OgOLzw0
mesure du volume en échographie
http://www.youtube.com/watch?v=5B9ozTbKJno
pleurésie tuberculeuse en échographie
http://www.youtube.com/watch?v=cEzQjGNMxGg
pose d’un drain tunnelisé pour pleurésie métastatique
http://www.youtube.com/watch?v=U0Zr8HcS8iQ
thoracoscopie d’une pleurésie tuberculeuse
http://www.youtube.com/watch?v=F8IeQ9_c0lI
thoracoscopie et pleurodèse pour épanchement pleural
http://www.youtube.com/watch?v=s9RdTbi5lbc