En urgence seuls les épanchements de constitution rapide sont utiles directement. Les petits épanchements pleuraux en émoussement de cul-de-sac costo-diaphragmatique sont intéressants mais ne permettent pas de conclure, sauf si une cardiomégalie est associée et des images évocatrices d’OAP, ou au contraire aucune anomalie évidente et un malade cliniquement instable, en faveur d’une EP.

pachypleurite
Des images de plèvre hypertrophiée peuvent se voir chez les patients âgés, en pachypleurite séquellaire de tuberculose, plaques pleurales d’asbestose, elles sont de découverte fortuite.
Discrètes elles ne se verront pas en urgence ou pourront faire croire à une pleurésie enkystée, or dans ces affections chroniques elles sont volontiers bilatérales.

épanchement pleural modéré
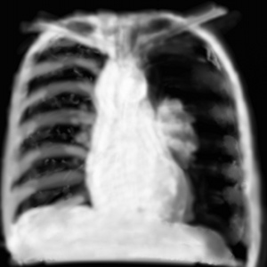
L’image clinique de l’épanchement pleural liquidien est une opacité à niveau horizontal comblant un cul-de-sac pleural et effaçant un des bords du coeur.
La coupole diaphragmatique droite étant plus haute que la gauche (puisqu’il y a la masse du foie en dessous), l’épanchement pleural à droite se diagnostique assez facilement. L’épanchement gauche modéré peut ne pas se voir car il met au même niveau les 2 coupoles, et donc faire croire à un abaissement de la couple droite.

épanchement pleural massif
Au maximum elle peut donner une image de poumon blanc, d’atélectasie complète par obstruction de la bronche souche, voire d’une pneumopathie franche lobaire aigüe touchant un seul poumon , ce qui est rare (cf Radio 4 opacité isolée). L’effet compressif par refoulement du médiastin vers le côté opposé est toujours possible pour un liquide pathologique remplissant entièrement une des deux plèvres.
C’est l’apanage des pleurésies ayant accumulé beaucoup de liquide progressivement comme certains exsudats de pleurésie métastatique, et surtout des transsudats et des hémothorax qui se constituent rapidement. La radio ne peut pas à elle seule donner la nature du liquide.

épanchement pleural bilatéral
Des épanchements de faible abondance vont juste émousser les culs-de-sacs costo-diaphragmatiques et infiltrer les scissures avec un aspect de scissurite. Si le liquide est épais, en particulier s’il est purulent, la présentation peut donner des opacités irrégulières pseudo-tumorales mais qui se raccordent à l’espace pleural.
Associés à une cardiomégalie, ce sont des équivalents d’OAP par insuffisance cardiaque. Dans les autres cas ils sont infectieux et des opacités alvéolaires associées sont possibles dans certaines pneumonies.

RP pneumothorax modéré
Le pneumothorax incomplet réalise une hyperclarté d’un sommet pulmonaire, il faut alors regarder de près la ligne blanche fine séparant le dôme pleural du sommet thoracique. Dans cette hyperclarté, il n’y a bien évidemment aucune mini opacité de vaisseaux bronchiques.
Pas toujours évidente à voir sur un pneumothorax débutant, on peut en réaliser un cliché en inspiration puis en expiration forcée, majorer ce pneumothorax dans le but de le diagnostiquer. S’il est déjà visible sur le 1er cliché il n’y a bien sûr aucun intérêt au cliché d’expiration (ceci suppose de ne pas faire pratiquer machinalement les 2 clichés en radiologie).

pneumothorax complet
Le pneumothorax complet est une hyperclarté qui se voit au premier abord comme une asymétrie des champs pulmonaires, faisant croire à des opacités sur le poumon sain. Il faut alors regarder le moignon pleural ratatiné sur le hile, et voir l’absence d’opacités des vaisseaux bronchiques dans le poumon le plus clair pour comprendre. Il est plus à risque de luxer le médiastin du côté opposé, théoriquement l’image radiologique de PNO compressif ne devrait pas se voir puisque suite au diagnostic clinique on doit l’exsuffler immédiatement. Mais il y a toujours des situations difficiles.
L’emphysème pulmonaire donne parfois de fausses images de pneumothorax avec des bulles monstrueuses (cf Radio 5 hyperclarté et cas radiologique du NEJM où un PNO a été faussement diagnostiqué et tenté d’être drainé avec drain qui ne «donne rien», totalement latéralisé sur le scanner).

hémopneumothorax
L’association épanchement gazeux en haut et liquidien en bas est un aspect fréquent en traumatologie thoracique par la formation d’un hémopneumothorax. Il est bien évidemment très urgent à prendre en charge.
La partie hémothorax se repère rapidement par les signes radiologiques de l’épanchement pleural. Le pneumothorax peut être complet, ou incomplet et dans ce cas passer inaperçu, ou visible après le premier drainage thoracique.
Il faut donc drainer les 2 épanchements par des drains distincts, l’un orienté vers le cul de sac, l’autre vers le sommet.
Les associations lésionnelles sont variées, peuvent être bilatérales asymétriques et avec très souvent des contusions pulmonaires associées. Les fractures de cotes sont souvent bien visibles.
Des hydropneumothorax de cause médicale existent aussi mais ils sont beaucoup plus rares.
Ces épanchements mixtes sont à grand risque de compression sur le médiastin.
L’évaluation rapide des pneumothorax et hémothorax au décours des polytraumatisme, choc ou détresse respiratoire fait maintenant appel à l’échographie rapide ciblée en plus de la radiographie de thorax au lit. L’échoguidage des accès vasculaires permet de réduire le nombre de complications, en particuliers hématomes et pneumothorax post ponction. Les épanchements nécessitent à chaque fois qu’ils sont abondants, un drainage thoracique dont la surveillance de la bonne position est contrôlée par un cliché de thorax.