L’interprétation d’une radio de thorax se fait classiquement selon une procédure un peu fastidieuse pas adaptée à la pratique de l’urgence.
Néanmoins juste jeter un coup d’oeil surtout sur une radio de mauvaise qualité peut ne donner aucun renseignement utile voire égarer le diagnostic en s’opposant à l’examen clinique.
Il faut donc un juste milieu pour faire un bon diagnostic «syndromique», car il est rarissime de faire un diagnostic étiologique juste sur un thorax.
Actuellement ce sera plus souvent sur le scanner qu’on fera un diagnostic précis, servant alors de bilan préthérapeutique.
Mais il n’est pas souhaitable, sauf situation codifiée précise, de demander un scanner thoracique de première intention. Dans beaucoup de petites structures ça ne sera de toutes façons pas possible, et quand bien même le fait de disposer d’une garde de scanner disponible 24/24 fera réaliser des scanners coûteux irradiants et donnera forcément une fois de temps en temps des faux positifs et faux négatifs.
Les symptômes urgents qui bénéficient d’une RP sont : la douleur thoracique, la dyspnée, le malaise ou syncope. Les motifs de type palpitations, tachycardie bénéficient peu de l’image des organes thoraciques, ou le renseignement est donné encore plus simplement par un ECG.

radiographie de thorax normale
Le médiastin c’est l’espace médian du thorax, c’est à dire tout ce qui reste en dehors de la paroi costo-pleurale et des poumons. La place est donc relativement réduite mais on ne peut pas la réduire à l’aire cardiaque. On peut le diviser de différentes façons, au maximum : 3 étages supérieur, moyen et inférieur, et 3 compartiments antérieur, moyen et postérieur.
C’est moyennement intéressant et source de confusions,parce que certaines zones ne comportent pas beaucoup d’éléments. Ce qui importe le plus ce sont les repères comme la bifurcation trachéale, la situation par rapport au sternum et aux vertèbres.
L’analyse précise d’un pathologie du médiastin sur la radiographie est difficile puisque les RP sont planes, et qu’il faut imaginer en 3 dimensions ce qu’on voit en 2 superposées.
L’habitude des clichés orthopédiques sous 2 incidences perpendiculaires (cliché face/profil) n’est pas réalisable sur un patient instable, et on se contente souvent d’un «thorax au lit» fait avec un appareil portable, qui est toujours plus flou qu’un thorax fait en salle de radiologie.
La tonalité du coeur et des gros vaisseaux est blanche en radio, opaque, on ne peut donc pas distinguer les cavités, ou alors seulement par leur relief externe (ce qui est rarement utile en urgence).

anevrisme aortique
Le relief de la crosse de l’aorte peut être élargi en cas de dissection aortique. En réalité il est déformé, hypertrophié en cas d’anévrisme aortique. Cet anévrisme est bien sûr susceptible de se rompre. Une dissection spontanée pourrait créér cette dilatation de la crosse aortique mais ce n’est pas le mode de révélation le plus fréquent.
Devant cet aspect il est difficile de savoir si c’est donc un anévrisme chronique ou une dissection localisée très grave. Un épanchement pleural gauche de constitution rapide peut aiguiller le diagnostic.
L’angioscanner est l’examen de référence dans ce cas.

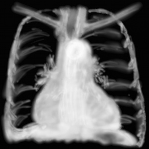
cardiomégalie
Le seul signe radiologique indicateur en urgence est un signe de pathologie cardiaque chronique : la cardiomégalie. Une cardiomégalie, évocatrice d’insuffisance cardiaque et des signes d’oedème pulmonaire orientent vers un OAP cardiogénique, un choc cardiogénique.
Un OAP et un petit coeur doivent faire considérer la possibilité d’un oedème pulmonaire lésionnel, d’un SDRA.
L’ECG a une grande valeur puisqu’il permet de préciser une cause coronarienne, rythmique. Les accès hypertensifs sont détectés immédiatement. Le seul examen morphologique utile serait une ETT pour expliquer certains OAP réfractaires (valvulopathies, rupture de septum, cordages, …).

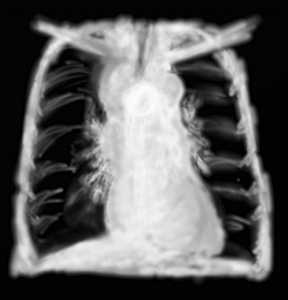
tamponnade
L’élargissement de la silhouette cardiaque associée à l’élargissement de l’étage moyen sur la radio de face témoigne d’une péricardite humide, ce qui ne se dit pas, mais qui est donc une péricardite à risque de tamponnade par accumulation de liquide dans le péricarde. Les contours son nets notamment aux bases, ce qui n’est pas le cas de la cardiomégalie où les contours flous sur liés à l’oedème interstitiel prédominant aux bases.
A noter que les péricardites sèches n’ont aucune traduction radiologique, et que des péricardites à faible volume de liquide ne se verront pas. L’échocardiographie au lit du malade peut le visualiser par contre.
En cas de choc , l’ETT permet aussi de faire le diagnostic de tamponnade et de guider la ponction péricardique.
L’hypertrophie de l’oreillette gauche est souvent méconnue, elle traduit un rétrécissement mitral. Mais s’il est patent, il y aura un souffle, parfois un trouble du rythme supraventriculaire, s’il est discret, il n’est pas visible radiologiquement.
L’augmentation du calibre de l’artère pulmonaire est difficile à mettre en évidence en urgence. De toutes façons il ne traduirait pas forcément une hypertension artérielle pulmonaire, et il faudra la confirmer par échographie.
Le syndrome tumoral médiastinal quel que soit sa localisation n’aide pas à orienter le diagnostic, il faut qu’il soit précisé par un scanner, sans urgence. Il faudrait une hémorragie importante sur masse tumorale pour le visualiser sur une RP, et ce ne serait pas suffisant. Les goitres thyroïdiens quand ils sont plongeants sont parfois impressionnants radiologiquement mais ils n’ont que peu de conséquences (dyspnée, et dans ce cas elle est inspiratoire et trouvable cliniquement.
On peut faire le diagnostic de suspicion d’embolie pulmonaire sur une radiographie de thorax, mais pas de confirmation quand même, faut pas exagérer.
L’embolie pulmonaire distale traitée ne donne quasiment pas de signes ou alors une réaction pleurale. Insuffisamment ou passée inaperçue elle peut donner un infarctus pulmonaire (voire chapitre 4 opacité pulmonaire isolée).
L’embolie pulmonaire massive ou des embolies bilatérales ne donnent pas de signe sur une radiographie de thorax notamment comme on pourrait l’espérer sur l’artère pulmonaire. L’ETT échocardiographie transthoracique peut par contre objectiver une HTAP hypertension artérielle pulmonaire, aiguë, et elle est faisable au brancard. L’angioscanner, à réserver aux EP bilatérales ou massives, objectivera le thrombus et son étendue dans le tronc pulmonaire et les artères pulmonaires.
La radio de thorax est quand même utile dans l’embolie pulmonaire distale quel que soit son résultat pour servir de référentiel à la scintigraphie de ventilation perfusion car elle permet de comparer les images de médecine nucléaire (et d’éliminer cet examen dans le bilan diagnostique en cas de BPCO avérée).
Ne soyons pas naïfs, une adénopathie médiastinale, ou hilaire isolée de petite taille, ne se verra quasiment jamais sur une radiographie. En tous cas en urgence, tout le monde passera à côté. La pratique plus courante des scanners par l’étendue de ses indications permet de faire le diagnostic et le bilan de ces adénopathies isolées (type adénopathie de la loge de Barety). Mais ce n’est plus de l’urgence.

RP maladie de Hodgkin
Quand l’adénopathie est volumineuse et surtout si on suspecte qu’elles sont multiples dans chaque hile, on peut s’orienter vers certains diagnostics de maladie. Comme le lymphome de Hodgkin avec classiquement un élargissement du médiastin moyen, irrégulier par adénopathies confluantes, formant un aspect en cheminée. De même des adénopathies bilatérales hilaires sans atteinte pulmonaire peuvent se voir dans la tuberculose.

RP sarcoïdose
C’est aussi une forme classique de la sarcoïdose (type 1) avec des adénopathies arrondies, non confluantes, polycycliques, mais d’autres présentations sont possibles : syndrome intersititel ou plages alvéolaires (type 2) associés à des adénopathies (type 3) ou aspect de fibrose pulmonaire (type 4).
L’élargissement du médiastin est aussi une observation radiologique dans la forme pulmonaire de l’anthrax par médiastinite hémorragique.

RP goitre plongeant
Certains goîtres thyroïdiens sont tellement volumineux qu’ils « tombent » dans le thorax. Si cliniquement ils sont évidents (sauf obésité), radiologiquement ils forment un élargissement du médiastin supérieur sans continuité avec lé médiastin moyen. La trachée est mal visualisée et peut même être comprimée entrainant cliniquement une dyspnée.
L’échographie rapide ciblée qu’elle soit d’urgence ou l’échocardiographie est un outil complémentaire qui devient indispensable dans les situations de grande urgence d’une détresse vitale car la seule radiographie de thorax ne permet pas sur un « gros médiastin » de déterminer un diagnostic précis. Alors que l’échographie visualise bien l’épanchement péricardique ou pleural (cf Radio 2 la plèvre), peut déjà retrouver la dilatation +/- la dissection de l’aorte ascendante, une dilatation pathologique et mouvements anormaux au ventricule droit. Même si là aussi comme dans la dissection aortique, ou l’embolie pulmonaire c’est le scanner injecté qui permet seul de faire un diagnostic précis réel.
Tous ces schémas de radio sont des illustrations caractéristiques des pathologies évoquées, il est bien évident qu’en pratique clinique, les radios présentent des signes plus discrets, surtout au début des processus pathologiques
Radiopaedia dont Normal contours of the cardiomediastinum on chest radiography
https://twitter.com/Taltyelemna/status/568709575748268032
Merci pour cet article très clair et concis, j’espère que la série va se poursuivre parce que la radio pulm je trouve que c’est le plus dur ! Bon en même temps je suis qu’en P2…
Sinon je suis un peu perplexe à propos de la phrase « L’angioscanner, à réserver aux EP bilatérales ou massives… » : je crois avoir appris que l’angioscan était l’examen de première intention en cas de suspicion d’EP, la scinti de ventilation/perfusion ne venant qu’en second temps en cas de CI à l’angioscan ou de doute diagnostique. Je me trompe ?
l’angioscanner a du mal à voir les petits emboles (mais ça se perfectionnera sans doute), la scintigraphie les voit bien mais indirectement puisqu’elle donne les zones encore ventilées mais qui ne sont plus perfusées.
c’est surtout qu’il ne faut pas envoyer en médecine nucléaire un patient instable, de toutes façons il ne pourra pas « coopérer » pour la partie ventilation.
néanmoins selon les centres, les scintigraphies sont très rapides à avoir.
si tu as un angioscanner négatif mais un tableau clinique compatible, tu sais que ce n’est pas une EP grave mais tu ne peux éliminer une EP plus distale (elle est moins grave cliniquement mais ça veut bien dire que le patient est à risque de thrombose, peut être même a t il encore une partie du caillot quelque part en dessous de la veine cave inférieure)
si tu as une scinti négative (et un Doppler veineux Mbs infs négatif) globalement il n’y a pas de faux négatifs (la réserve étant de pratiquer une scinti sur « poumons sains » antérieurement à l’épisode sinon c’est + compliqué à interpréter)
de toutes façons le gold standard en cas de doute c’est l’angiographie pulmonaire mais ça se fait de moins en moins.
la série va se poursuivre, peut être pas tous les volets à la suite, il devrait y en avoir 4 au total.
Je confirme ce que dit le P2, dans les arbres décisionnels (du moins ceux qu’on apprend pour l’ECN, ce qui diffère sensiblement de la pratique j’imagine), l’angioTDM est l’examen de 1er choix en cas de probabilité clinique forte.
Si négatif : faire écho MI
Si les 2 sont négatifs : arrêt des investigations.
L’angiographie n’a de place que dans les algorithmes basés sur la scintigraphie.
A savoir (toujours en cas de probabilité clinique forte) :
1) Echographie MI
2) Scintigraphie
3) Angiographie
Les nouveaux scanners multibarettes spiralés ne passent plus que très rarement à côté des emboles distaux. Et de toute façon, si les emboles sont trop petits/distaux pour être vu sur TDM, c’est que l’EP ne doit pas être particulièrement grave.
les recommandations ont évolué depuis qu’on me les a enseignées, et je me base surtout sur ce qu’on faisait en pratique dans les services.
je suis d’accord que l’angiographie est devenu exceptionnelle, au final un très bon scanner injecté réalise une angiographie numérisée.
le problème est toujours le même : les scanners hyper moderne, c’est formidable mais où les trouve t on ? dans les petits CH, il n’y a pas forcément un scan ancienne génération remplacé par un multibarrettes. Et je ne vous parle pas des centres où il n’y a pas de scan ou pas de garde de scan la nuit ou le WE …
ce n’est que mon avis, mais l’écho Doppler des membres inférieurs est toujours à faire : d’abord il est facile, il peut même être réalisé dans le cadre d’une écho ciblée des urgences, et il répond à la question « y a t il encore un caillot accroché qui risque de migrer ? »
un scanner avec une petite EP distale mais une écho avec gros thrombus instable, c’est de la bonne graine pour de l’EP massive fatale.
une EP moyenne mais à « jambes libres » c’est pas génial pour le patient mais c’est moins dangereux.
et encore on a pas parlé des EP à DDimères négatifs 🙂
Ce manuel est Claire merci tellement veuillez designer les abbreviations
Merci pour vos conseils, pour cet enseignement