thoracotomie

petite encyclopédie de l'urgence

Interprétation d’une radiographie thoracique en urgence – 3 – opacités pulmonaires multiples

Je rappelle, ce qui est opaque aux rayons X apparait blanc (liquide, tissus biologiques remplis d’eau), le reste apparaît noir, on parle de clarté ou hyperclarté (air). A l’état normal les poumons apparaissent donc noirs avec de petits liserés blancs discrets correspondant aux tissus de soutien entre les alvéoles.
La sémiologie radiologique distingue au niveau pulmonaire un syndrome bronchique, alvéolaire et interstitiel. L’ennui c’est que les 2 derniers peuvent être fréquemment associés et que le 1er est un peu une vue de l’esprit sauf lésion très évoluée.
L’opacité alvéolaire est un ensemble de petites lésions blanches arondies correspondant au remplissage d’alvéoles normalement contenant de l’air par un liquide biologique, sa répartititon se fait depuis les hiles vers la périphérie sans atteindre l’extrémité externe du poumon.
Le syndrome interstitiel est composé de lésions blanches plus petites, plus fines, souvent linéaires, à distribution très périphérique mais atteignant souvent l’ensemble du poumon lui faisant perdre sa clarté naturelle. Il correspond à des lésions du tissu de soutien entre les alvéoles.
Le syndrome bronchique correspond aux lésions des bronches et des bronchioles et de leurs vaisseaux principaux, il est très proche des hiles pulmonaires.

En urgence, les anomalies du parenchyme pulmonaire sont extrèmement importantes mais assez stéréotypées, ce qui fait que dans la plupart des cas en concordance avec la clinique on arrive à un diagnostic assez simple.
Les anomalies urgentes à détecter sont bilatérales et multiples. L’opacité pulmonaire unique est plutôt une affaire de pneumologie pure (en particulier vis à vis du cancer bronchique).

On va donc distinguer dans les cas où l’examen clinique reste flou, une orientation en fonction de la présence plutôt d’un syndrome alvéolaire ou d’un syndrome interstitiel. En sachant que dans les cas ambigus, la radio … l’est aussi !

Opacités alvéolaires diffuses

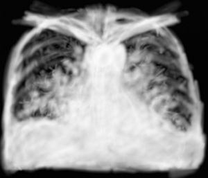
RP métastases

RP métastases

Certaines anomalies ont peu de traduction auscultatoire mais une radiographie très marquée, il en est ainsi de l’aspect en lâcher de ballons des métastases pulmonaires de cancer du sein, de la prostate, du rein, de la thyroïde.

Infiltration alvéolaire

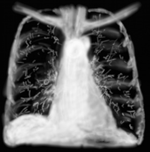
RP OAP avant traitement

RP OAP avant traitement

RP OAP après traitement

RP OAP après traitement

Les opacités bilatérales alvéolaires groupées autour des hiles mais les débordant en cas de gravité très largement traduisent un oedème pulmonaire. L’OAP cardiogénique régresse quasi totalement sous diurétiques, vasodilatateurs et VNI et la radio post traitement montre souvent qu’une cardiomégalie et un liseré d’opacités paracardiaques bilatérales. C’est l’image qu’on voit aussi dans le choc cardiogénique.

RP OAP lésionnel noyade

RP OAP lésionnel noyade

Après traitement diurétique, l’eau est évacuée des poumons et les opacités radiologiques disparaissent. Néanmoins, une petite surcharge aux hiles reste présente et la cardiomégalie apparait alors. Un OAP qui persiste radiologiquement (et cliniquement aussi bien sûr) sur un « petit coeur » est en faveur d’une origine extra-cardiaque. L’équivalent d’insuffisance cardiaque aigüe représenté par les épanchements pleuraux peuvent encore se voir car ils s’éliminent lentement sous diurétiques.

Un oedème pulmonaire lésionnel est possible dans des affections variées, il est d’apparition plus lente radiologiquement que l’OAP cardiogénique. Les opacités là également en ailes de papillons sont plus limitées, mais elles ne disparaitront pas sous traitement, et se poursuivront dans les pires cas par un syndrome interstitiel diffus de fibrose pulmonaire. On voit aussi ces images dans les traumatismes du thorax avec contusion pulmonaire, les SDRA et pneumonies d’évolution rapide en choc septique comme dans l’anthrax pulmonaire et la peste pulmonaire, parfois bilatérales d’emblée, parfois faisant suite à un foyer de pneumopathie localisé (cf Radio 4 – opacité pulmonaire isolée).

Infiltration interstitielle

RP lymphangite carcinomateuse

RP lymphangite carcinomateuse

Le syndrome interstitiel pur ou plutôt alvéolo-interstitiel discret est possible au début de l’OAP cardiogénique ou dans les formes pseudo-asthmatiques sifflantes. La surcharge des hiles est alors plus discrète et les opacités sous forme de petites lignes diffuses dans les champs pulmonaires. Ce sont les classiques lignes de Kerley de type B, qu’on ne recherche pas réellement pour établir le diagnostic.

La plupart des syndromes interstitiels sont dûs à des causes pulmonaires et pas cardiaques, pas toujours évidentes à diagnostiquer. Les opacités peuvent être linéaires, nodulaires, micronodulaires, réticulaires. De nombreuses pneumonies infectieuses donnent des tableaux de pneumopathie interstitielle : germes atypiques (Mycoplasme, Chlamydia), virus (grippe, Varicelle Zona virus).
La lymphangite carcinomateuse est une infiltration interstitielle diffuse linéaire par épaississement des lymphatiques des septas interlobulaires.

RP pneumopathie d'hypersensibilité

RP pneumopathie d’hypersensibilité

La pneumopathie d’hypersensibilité est un exemple d’opacités nodulaires de petite taille et qui confluent parfois ensemble ou mieux visibles en surimpression des côtes et des omoplates.
Cet aspect ressemble à des infiltrats alvéolaires multiples qu’on peut rencontrer dans certaines pneumopathies infectieuses à germes atypiques ou à Legionelle, mais dans ces cas on observe pas de nodules et on attend de voir sur des clichés de bonne qualité plusieurs bronchogrammes aériques.

RP miliaire tuberculeuse

RP miliaire tuberculeuse

La miliaire est une infiltration micronodulaire, les opacités sont extrèmement petites et très diffuses. L’exemple le plus connu est la miliaire tuberculeuse qui est grave car elle traduit une invasion systémique du bacille tuberculeux. Une miliaire est possible aussi dans la sarcoïdose plutôt à la partie moyenne des poumons et avec une adénopathie médiastinale, mais elle est rare et ne concerne pas les tableaux urgents.

Syndrome bronchique

Le syndrome bronchique est une description radiologique curieuse, souvent énoncée sur des compte rendu pour dire quelque chose, parfois on parle de «surcharge bronchique» expression très floue.
A l’état normal on ne voit pas les bronches, leurs parois ou à peine. L’infiltration des bronches peut théoriquement se voir soit si la lumière bronchique est bouchée de mucus, de pus. Ces situations se voient dans les pneumopathies et dans ces cas on a les signes radiologiques de pneumopathies. Ou ce sont les vaisseaux bronchiques qui sont épaissis et cela traduirait un processus cardiovasculaire et pas infectieux pulmonaire.

RP mucoviscidose

RP mucoviscidose

Les syndromes bronchiques se voient quand une maladie chronique très évoluée comme la dilatation des bronches ou bronchectasies, la mucoviscidose se compliquent d’une surinfection. Les images peuvent montrer des opacités linéaires partant des hiles et se dirigeant vers la périphérie, des images arrondies en cocardes représentant les bronches vues en coupes, ou des images en rail quand elles sont vues dans le sens de la longueur.

En dehors de la radiographie

De plus en plus quand le diagnostic hésite, qu’un tableau de décompensation cardiaque et d’affection pulmonaire simultanée est possible, et c’est logique devant une radio de poumons blancs, l’évaluation va vers un scanner thoracique, en urgence ou au cours des hospitalisations en soins intensifs. Bien évidemment ceci a un coût et n’est pas souhaitable pour toutes les opacités pulmonaires multiples.

Une alternative intéressante depuis les urgences ou le service de réanimation est l’évaluation par échographie rapide ciblée du coeur avec évaluation de la fonction cardiaque (fraction d’éjection, HTAP, asymétrie de contraction…) mais aussi du parenchyme pulmonaire, recherchant les atteintes alvéolaires focales. Cette échographie couplée à la radiographie de thorax pourrait être une alternative crédible au scanner et permettrait de prendre en charge simplement les syndromes alvéolo-interstitiels les plus fréquents. Le syndrome interstitiel a une traduction échographique également sous forme de lignes B, artefacts en ring down ou queues de comète, très sensible et précoce notamment en cas d’oedème pulmonaire, avant la traduction radiologique surtout difficile à lire sur des thorax au lit souvent difficiles à lire avec précision.

Références

Radiopaedia dont Lung

Learningradiology

32 commentaires sur “Interprétation d’une radiographie thoracique en urgence – 3 – opacités pulmonaires multiples

  1. Philippe
    18 janvier 2012
    Avatar de Philippe

    Les dessins sont d’une réalité saisissante, avec toutefois un très léger flou sur le cadre osseux, qui les rendrait presque poétiques!
    Bravo.

    • thoracotomie
      18 janvier 2012
      Avatar de thoracotomie

      pour la série radio de thorax, en fait j’ai schématisé pour que ça reste facile à comprendre, mais du coup c’est assez basique (et en effet j’ai négligé le cadre osseux pour qu’on focalise pas l’attention dessus).
      j’ai essayé de dessiner quelques radios, scanner, IRM et c’est assez ingrat le résultat (par exemple pour la dissection aortique ou les plaies articulaires)

  2. Philippe
    19 janvier 2012
    Avatar de Philippe

    Basique???
    Mes dessins me parraisse bcp plus basiques que les tiens…
    Je vais me racheter des crayons, ça ne peut qu’être une histoire de materiel…

  3. Gaspy
    24 janvier 2012
    Avatar de Gaspy

    C’est vrai que, de ce que j’ai pu voir de la sémio radio du thorax, la notion de « syndrome bronchique » est assez… vague. En gros ça veut dire pour moi « y’a quelque chose de bronchique visible à la radio ». Idem pour le soi-disant syndrome médiastinal. Et même ces histoires de syndrome alvéolaire ou interstitiel qui peuvent se cacher l’un l’autre en cas d’association. Résultat : je ne sais pas trop quoi faire des cours de radio pulm de la fac parce que si on les écoute, on peut à peu près tout voir dessus mais d’un autre côté rien n’est spécifique… Donc à part le côté sémiologique pur (mettre des mots sur ce qu’on voit), j’ai un peu de mal à imaginer des orientations diagnostiques sur une radio pulm seule ! C’est typiquement cité comme l’examen « de débrouillage », mais concrètement j’ai du mal à concevoir ce qu’on peut en attendre. Peut-être aussi (sûrement) que c’est parce que j’en suis qu’au tout début de mes études…

    PS : à propos des commentaires sur le 1er volet de cette série de billets, il faut croire que j’ai eu du nez parce que c’est l’EP qui est tombée au partiel !! donc merci pour le commentaires qui m’ont donné à réfléchir très opportunément ^^

    • thoracotomie
      24 janvier 2012
      Avatar de thoracotomie

      Les anomalies du médiastin méritent toujours un scanner thoracique (et échocardiographie quand c’est la région cardiaque concernée, ETT ou ETO).
      Pour les poumons, ça dépend du contexte clinique, il ne serait pas logique d’en réaliser un sur un doute d’OAP cardiogénique (en tous cas dans les 1ères heures de prise en charge en urgence, après en réanimation, tout se discute).
      Le syndrome interstitiel est difficile à objectiver sur une radiographie d’urgence, pire si elle n’est pas numérisée, alors la distinction linéaire, nodulaire, réticulaire … il n’y a que la miliaire qui est assez typique (et rare aussi).

      L’EP est un bon client pour les examens, de toutes façons même si ce n’est pas ça, on peut l’évoquer dans le diagnostic différentiel d’à peu près tout, ça marche toujours !

  4. youcef
    25 mars 2013
    Avatar de youcef

    cest asssez super
    ces dessins me permettent de comprendre ce que interpreté et imaginé .merci
    pour le syndrome bronchiq j ai vu plusieurs compte rendu des radiologue qui parlent de ce syndrome mais moi meme j ai du mal a le trouver sur la radio
    et est ce que ce syndrome peut se confondre avec les opacites alveolo interstitiel (OAP) a un stade precoce

    • thoracotomie
      25 mars 2013
      Avatar de thoracotomie

      Je te rassure, tu n’es pas le seul à avoir du mal à voir un Sd bronchique en radio. Je suppose même que parfois, c’est plus pour dire quelque chose qu’on l’évoque. Théoriquement on ne peut pas confondre le Sd bronchique qui est central portant sur les grosses et moyennes bronches et un syndrome interstitiel qui affecte le parenchyme pulmonaire et donc beaucoup plus périphérique.
      L’OAP donne un tableau alvéolo-interstitiel, précoce oui il pourrait être confondu avec une « surcharge bronchique » mais dans ces cas là, la radio n’est pas d’une grande aide et c’est le contexte clinique qui donne le diagnostic ou les dosages biologiques type BNP.
      Tout peut enfin être associé, à savoir qu’une infection respiratoire même virale donne une bronchite qui évolue facilement en pneumonie chez le sujet âgé entrainant une décompensation cardiaque.

      • Reghina
        9 septembre 2016
        Avatar de Reghina

        Bonj il ya une semaine que j’ai été a l’urgence et la suite la je suis chez moi et j’ai reçu un courier la quel il dis que il exsiste un dute sur l’apparition d’un syndrome-alvéolo interstitiel peri-broncho-vasculaire sous hilaire droit je ne coprend riven merci de me repondre

        • Tom O'Graphy
          20 septembre 2016
          Avatar de thoracotomie

          Le site n’est pas là pour répondre aux demandes personnelles.
          Vous ne donnez de toutes façons aucune information sur le contexte clinique.
          Demandez à votre médecin.

  5. S
    5 août 2013
    Avatar de S

    Vs n’avez pas illustrer les clichés de profil de chaque cliché

  6. DR JOEL
    11 août 2015
    Avatar de DR JOEL

    COMMENT SES MANIFEESTENT L ABCES PULMONAIRE , PNEUMONIE INTERSTITIELLE

    • Tom O'Graphy
      16 août 2015
      Avatar de thoracotomie

      L’abcès pulmonaire se manifeste plus ou moins comme une pneumopathie lobaire avec un syndrome infectieux marqué ou la persistance de ses manifestations malgré le traitement antibiotique. Mais la plupart du temps l’abcès est surtout de traduction radiologique.
      Les pneumonies interstitielles (à Chlamydia, Mycoplasme …) donnent en général un tableau moins sévère, plus progressif que les pneumonies lobaires.

  7. ngoy kitalu
    1 septembre 2015
    Avatar de ngoy kitalu

    Suis medecin generaliste s’occupant du service des urgences.tres reconnaissant de cet element.souhaite bcp des cliches diversifies

    • Tom O'Graphy
      2 septembre 2015
      Avatar de thoracotomie

      Merci, ces articles datent un peu, et c’est vrai que même les illustrations sont moches par rapport à ce que je peux faire aujourd’hui. Je devrai les faire évoluer en mettant une vraie radio systématiquement pour comparer. Je vais travailler là-dessus.
      Pour les clichés, je lie principalement à des radiographies du site Radiopaedia.org (je commence aussi un peu à uploader mes propres clichés sur le site)

  8. Bethlehem
    27 janvier 2017
    Avatar de Bethlehem

    Bonjour. on m’a diagnostiqué un epanchement liquidien pleural gauche de grande quantité. je ne comprend pas ce que sa signifie. pouriez vous n’expliquer

    • Tom O'Graphy
      29 janvier 2017
      Avatar de thoracotomie

      Il s’agit de la présence d’un liquide biologique en quantité anormale voire d’un liquide franchemant pathologique entre les 2 feuillets de la plèvre qui tapisse le poumon. Il y a plus d’informations dans cet article Pleurésie et épanchement pleural

  9. laza
    30 janvier 2017
    Avatar de laza

    bonsoir tous le monde pouvez vous me dire ce que veut dire « opacités interstitielles basales gauches .décollement pleural basal gauche 7mm » svp merci pour votre réponse

    • Tom O'Graphy
      23 février 2017
      Avatar de thoracotomie

      Sans le contexte dans lequel ce résultat a été donné c’est très difficile de dire à quoi ça correspond réellement. Opacités interstitielles, ça veut dire qu’il y a une image radiologique correspondant à une atteinte du tissu interstitiel qui est entre les alvéoles pulmonaires, visiblement ici c’est très localisé alors que le syndrome interstitiel est en général une description radiologique diffuse bilatérale comme dans les pneumopathies infectieuses à Mycoplasme par exemple, l’oedème pulmonaire modéré et la fibrose pulmonaire (répondant tous 3 à des étiologies vraiment très différentes).
      Décollement pleural basal gauche de 7 mm, je ne sais pas. Un « décollement pleural » ça correspond généralement à un pneumothorax mais c’est majoritairement au sommet pas à la base pulmonaire, et puis ça ne décrit pas le phénomène qui décolle : de l’air manifesté sur la radio par une hyperclarté (c’est à dire noir à la radio), ou au contraire une opacité (donc blanche). Il est possible que ce résultat de radio soit très imprécis et qu’il ne puisse être suffisamment utile pour poser un diagnostic, mais vous devriez reconsulter le clinicien qui a prescrit la radio pour savoir ce qu’il en pense et comment il va orienter la prise en charge.

  10. Ymmata
    12 octobre 2017
    Avatar de Ymmata

    Non

  11. Raymond
    23 novembre 2017
    Avatar de Raymond

    Bonjour, Je voudrais que vous m’expliquiez ce résultat d’une radio du thorax, après une toux depuis 2 mois ,mais pas très persistante dans la journée ni le soir.Après 8 jours de traitement antibiotique Amoxiciline ( 2 c par jour ) et depuis 6 jours Lévofloxacine 500mg ( 1 c par jour), la petite toux persiste sans grande intensité,mais elle est là. Voici le compte rendu de la radio:

    Opacité arrondie basi-thoracique gauche mesurant approximativement 30 mm( en projection de la lingula) associée à un probable petit émoussement du cul de sac pleural gauche témoignant d’une lame d’épanchement.
    Par ailleurs, silhouette cardio-médiastinale normale.
    Pas d’anomalie visible au niveau du cadre osseux.

    PDS: 817 mGy. cm2
    Examen interprété sur console haute définition dédiée au diagnostic .
    Cela peut il être un signe de cancer ?

    • Tom O'Graphy
      21 décembre 2017
      Avatar de thoracotomie

      Malheureusement je ne suis pas là pour répondre à des demandes personnelles concernant des états de santé. D’autant plus que ce blog traite de l’urgence et pas des bilans plus chroniques.
      Néanmoins en faisant simple : le radiologue visualise visiblement une image sur le poumon gauche qui correspond à un syndrome alvéolaire, c’est à dire en plein parenchyme (le tissu pulmonaire même) et un peu de liquide dans la plèvre adjacente. Il ne voit rien dans la région cardiaque et ne voit pas d’anomalie au niveau osseux. Il ne se prononce pas vraiment sur le caractère potentiellement bénin/malin ni sur une étiologie infectieuse/tumorale/inflammatoire autre. C’est donc qu’il vous réoriente vers le prescripteur de la radio pour l’intégrer au contexte clinique. En cas de difficulté d’analyse il serait logique que vous soyez orienté vers un pneumologue pour faire la part des choses.

  12. ONIN
    27 mars 2019
    Avatar de ONIN

    bonjour,
    que veut dire hyperclarté de la transparence des deux champs pulmonaires MERCI

    • Tom O'Graphy
      1 avril 2019
      Avatar de thoracotomie

      en radiologie par rayons X (radiologie standard et scanner), tout s’affiche sur une échelle de valeurs de gris. Pour la radiologie standard, c’est presque binaire : blanc c’est opaque (on parle donc d’opacité) et noir c’est transparent (on parle de clarté ou d’hyperclarté). En scanner c’est un peu plus étoffé, ça va de l’opacité très blanche de l’os et du sang frais, de différents niveaux de gris représentant l’eau et la graisse et l’air est là encore noir.
      Le tissu pulmonaire est fait d’un ensemble d’alvéoles et de bronches/bronchioles, la proportion d’air là dedans est énorme (c’est normal c’est sa fonction). Mais il y a un petit peu de structures, de tissu de soutien donc au final du poumon sur une radio ça apparait noir mais avec des petites trames blanches/grises. Quand sur une radiographie, ça apparait uniquement noir sans cet aspect fibreux, c’est que le tissu de soutien est détruit (comme dans l’emphysème pulmonaire où ça donne des grandes bulles), ou qu’il est absent (pneumothorax où de l’air libre est en présence anormale dans la plèvre). De la clarté ou transparence pulmonaire normale on a donc ce qu’on décrit comme une hyperclarté. Mais il faut raisonner en négatif, sur une radio vous verrez ça en noir, alors que dans le langage courant, ce qui est clair nous apparait plutôt lumineux donc blanc.

  13. bonneau
    11 Mai 2020
    Avatar de bonneau

    BONJOUR, que veut dire discrete accentuation des opacités broncho vasculaires hilo basales bilatérales?
    merci.

    • thoracotomie
      29 août 2020
      Avatar de thoracotomie

      Ca dépend de la situation et de l’imagerie qui a été réalisée et pour laquelle le radiologue fait cette description (radiographie, scanner, PET SCAN).
      Si elles sont accentuées c’est que ces opacités sont plus visibles, plus condensées, plus concentrées, le tissu local est donc probablement plus atteint. Ca traduit un processus évolutif, actif. Généralement l’aspect très central, à partir des hiles pulmonaires qui sont les zones où arrivent et repartent les gros vaisseaux, est associé à des processus non pas pulmonaires directs mais souvent cardiaques avec un retentissement pulmonaire, comme dans l’oedème pulmonaire d’origine cardiogénique. Ca peut donc être un signe radiologique indirect d’insuffisance cardiaque. Mais des maladies pulmonaires chroniques peuvent aussi avoir un aspect similaire et donc cette description doit être intégrée dans le contexte clinique.

  14. eva
    9 juillet 2020
    Avatar de eva

    Bonjour,
    Que veut dire infiltration basi-thoracique sur le poumon gauche ?

    • thoracotomie
      29 août 2020
      Avatar de thoracotomie

      Le terme « infiltration » au niveau radiologique décrit un changement d’aspect de la structure, de l’organe observé, mais d’un point de vue d’imagerie médicale. Le poumon qui est radiotransparent apparait noir (comme l’air), une structure tissulaire concentrée va apparaitre grise, voire franchement blanche s’il s’agit d’une structure composée de calcium comme l’os (ou de métal pour un corps étranger). Infiltration décrit que l’image change, mais pas de façon organisée, condensée, comme quelquechose qui s’infiltre mais n’arrive pas à changer l’ensemble de la structure.
      L’interprétation qu’on doit faire de cet aspect d’imagerie, c’est que soit le processus est discret, soit qu’il est débutant. Pour le poumon, la plupart du temps ça signifie que le tissu pulmonaire s’épaissit et s’altère (pas forcément de façon irréversible). C’est observé majoritairement dans les pneumonies infectieuses et si l’atteinte est bien localisée et visible déjà sur la radiographie, d’une pneumonie plutôt bactérienne.

  15. Gouasquet
    1 avril 2021
    Avatar de Gouasquet

    Bonjour que veut dire syndrome bronchique au niveau des deux bases merci

    • thoracotomie
      15 Mai 2021
      Avatar de thoracotomie

      Dans l’article ? je n’en parle pas …
      En théorie ce n’est pas possible, puisqu’aux bases pulmonaires, il n’y a plus de bronches, c’est déjà la terminaison des bronchioles vers les alvéoles pulmonaires. Il n’y a pas d’opacité révélant une pathologie « bronchique » à ce niveau. Après ça peut vouloir dire aussi qu’on voit des opacités qui semblent suivrent les bronches (et donc les vaisseaux) plutôt dans les lobes inférieurs qu’aux lobes supérieures. C’est de toute façon assez flou un compte rendu comme ça.

  16. Thorax
    6 juin 2021
    Avatar de Thorax

    Quel est la différence entre une formation multiples micronodules et une formation multiples kystiques pulmonaires ? Peut-on poser un diagnostic après observation de ces anomalies ?

    • thoracotomie
      30 mars 2022
      Avatar de thoracotomie

      L’idée de nodules, en médecine, implique qu’il s’agit d’un tissu plein, alors qu’un kyste c’est creux. Donc ça ne répond pas tout à fait aux mêmes maladies potentiellement. Mais ça décrit plus de la morphologie.
      On fait une différence aussi entre un nodule, ou un kyste isolé, et des formations multiples.
      Très schématiquement un cancer ne va pas se manifester par une structure kystique, puisque ce sont des cellules tumorales qui constituent un tissu aberrant, souvent immature, proliférant et agressif. Ca ne correspond pas aux pathologies qui vont développer un kyste, souvent de façon assez lente.
      Au niveau pulmonaire, plusieurs micronodules ne sont pas forcément inquiets, pas forcément cancéreux ? Des pathologies interstitielles (comme des pathologies professionnelles) peuvent évoluer en donnant cet aspect là en imagerie. Les structures kystiques au niveau pulmonaire sont parfois sur une imagerie notamment scanner dans l’évolution de maladies chroniques comme les dilatations des bronches.
      A l’heure actuelle la radiographie pulmonaire n’a plus d’intérêt pour ces pathologies, elle est trop en retard, pas assez facile à lire. C’est le scanner thoracique qui fait tout.
      Un sujet forcément compliqué qui demande toujours un avis spécialisé, pour savoir « c’est sérieux vs c’est bénin », « ça s’explore vs ça se surveille juste 1 fois par an » etc.

Quelque chose à ajouter ?

YouTube