thoracotomie

petite encyclopédie de l'urgence

Hémorragie digestive haute : hématémèse et méléna

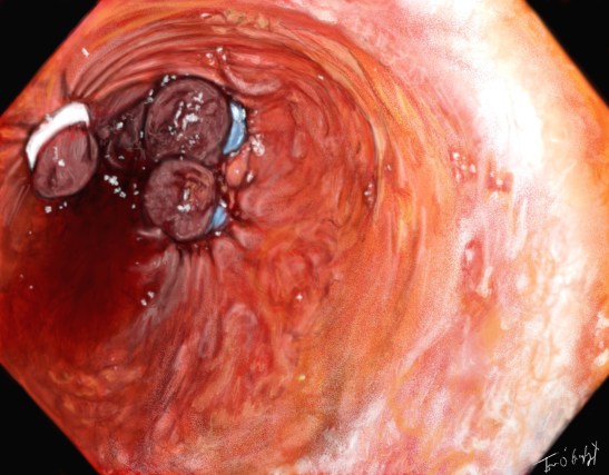
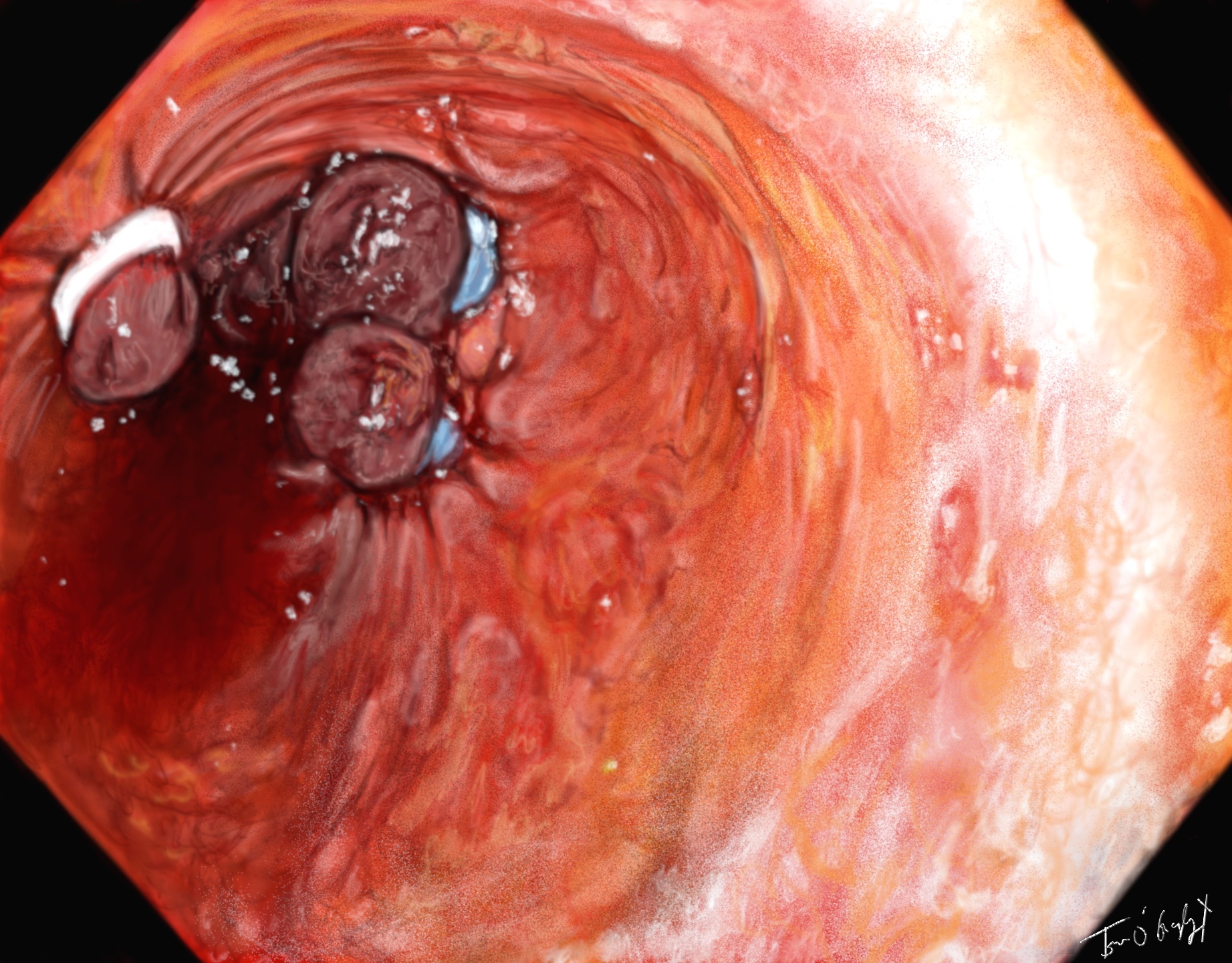
Ligature de varices oesophagiennes en endoscopie

Ligature de varices oesophagiennes en endoscopie

Ce sont les hémorragies dont la source est en amont de l’angle de Treitz duodéno-jéjunal. Les 2 étiologies principales sont représentées par la rupture de varices oesophagiennes chez le cirrhotique et les hémorragies sur ulcères gastro-duodénaux.

Diagnostic

Clinique

Il se base sur les antécédents de cirrhose hépatique, d’alcoolisme chronique, de maladie ulcéreuse gastro-duodénale, de prise de médicaments gastro-toxiques (aspirine, anti-inflammatoires non stéroïdiens, corticoïdes), de chirurgie thoraco-abdominale (prothèse aortique), de prise d’anticoagulants, de thrombopénie ou troubles de la crase sanguine, de comorbidités (coronaropathie, insuffisance cardiaque, rénale, respiratoire).

L’examen ou l’interrogatoire retrouve une hématémèse, évacuation de sang rouge, parfois marc de café par la bouche, avec une odeur ferrique de l’haleine. Si une aspiration gastrique est mise en place, elle peut mettre en évidence le sang. On retrouve la notion de vomissements itératifs ayant précédé l’hématémèse; l’évacuation dans les selles de sang digéré qui a fait tout le circuit digestif, mais venant bien d’un siège au-dessus du jéjunum, engendrant des selles noires, malodorantes, sous forme de méléna. Les hémorragies très abondantes peuvent engendrer plus qu’un méléna et parfois donner de véritables rectorragies.

La complication la plus redoutable est évidemment le choc hémorragique : tachycardie (absente si prise de bêta-bloquants qui sont très souvent prescrits chez les cardiaques et les cirrhotiques), hypotension (d’abord orthostatique), malaise lipothymique, hyperventilation compensatrice, extrémités froides, marbrures, temps de recoloration cutanée allongé, pâleur et sueurs, agitation ou confusion, oligo-anurie. Les signes indirects de cirrhose hépatique peuvent orienter quand l’hépatopathie n’est pas connue : ictère, angiomes stellaires, circulation veineuse collatérale, ascite, encéphalopathie hépatique.

Paraclinique

L’Hemocue® (hémoglobine capillaire) donne une idée de l’hémoglobine qui sera confirmée par une numération formule sanguine. La déglobulisation peut cependant se manifester par une chute tardive de l’hémoglobine alors que le saignement est conséquent. Les autres paramètres importants sont la SaO2, le retentissement ECG chez le coronarien ou pour le diagnostic différentiel. Le reste du bilan biologique se base surtout sur les désordres hydro-électrolytiques associés et l’insuffisance rénale biologique (le rapport Urée/Créatinine pourrait être un indice de gravité). Le bilan hépatique à la phase aiguë n’est généralement pas très utile hormis me dosage des lactates en cas de choc ou douleur abdominale associée. Le bilan de coagulation est souvent perturbé chez le cirrhotique : thrombopénie, baisse du TP et du fibrinogène. Les gaz du sang peuvent montrer rapidement une acidose métabolique. L’hypothermie est un facteur aggravant.

Différentiel

Il est parfois difficile de préciser l’origine digestive du saignement. Le diagnostic différentiel peut se poser avec :

  • hémoptysie
  • épistaxis déglutie
  • saignement d’origine ORL, maxillo-facial, dentaire (tumeur, traitement anticoagulant)
  • vomissements fécaloïdes d’occlusion
  • vomissements avec présence de colorants alimentaires naturels (betteraves) ou artificiels, vin lors d’une intoxication alcoolique

Étiologies

  • veines-oesophage-varices

    anatomie du système veineux oesophagien

    Rupture de varices oesophagiennes (VO), devenue la 2de cause, mais dont la mortalité reste très élevée

  • Ulcère gastro-duodénal qui est devenue la 1ère cause d’hématémèse avec une mortalité faible
  • Gastrite hémorragique, duodénite aiguë
  • Syndrome de Mallory Weiss
  • Reflux gastro-oesophagien et oesophagite peptique, favorisée par la hernie hiatale
  • Tumeurs oesophagiennes et gastriques
  • Corps étrangers
  • Traumatismes de l’oesophage (le syndrome de Boerhaave n’est généralement pas source d’hématémèse)
  • Fistule aorto-digestive (notamment duodénale)
  • Maladies vasculaires avec localisations digestives, angiodysplasie, maladie de Rendu-Osler
  • Troubles de la crase sanguine et accident des anticoagulants : lésion préexistante décompensée par défaut de coagulation

Les facteurs pronostiques pour les ulcères sont : l’âge, le choc initial, la récidive hémorragique, une pathologie associée, les signes endoscopiques. Les facteurs pronostiques pour les hémorragies du cirrhotique sont : l’âge, l’encéphalopathie hépatique, un carcinome hépato-cellulaire, une insuffisance rénale, la récidive précoce, l’infection, le score de Child-Pugh de la cirrhose. Il y a plusieurs scores cliniques et biologiques dont certains se basent sur les données de l’endoscopie. Le score de Rockall est associé à une mortalité élevée à partir d’un seuil > 8. Le score de Glasgow-Blatchford reste clinico-biologique et permet d’identifier les patients les moins graves : urée < 6,5 mmol/l , Hb > 13, PAS > 110, FC < 100, absence de méléna, absence de syncope, absence d’hépatopathie et d’insuffisance cardiaque. Si tous ces paramètres sont réunis, il n’y a pas de risque létal et un traitement endoscopique n’est pas nécessaire.

Traitement

Réanimation

Le conditionnement doit assurer le traitement précoce d’un choc hémorragique : monitorage, voies veineuses périphériques de bon calibre, prélèvements sanguins pour numération, coagulation et groupe, rhésus, correction de l’hypothermie. L’oxygénothérapie est à employer systématiquement pour saturer les hématies, même si la saturation en air ambiant est normale. Le transport des cas graves doit se faire rapidement vers une unité de réanimation avec possibilité de prise en charge gastro-entérologique urgente. Les hémorragies non objectivées ou de faible abondance, ou à faibles comorbidités peuvent être explorées plus simplement mais l’hospitalisation en gastro-entérologie ou médecine est généralement conseillée, les saignements pouvant être imprévisibles.

Le remplissage vasculaire doit être ajusté avec l’objectif classique d’une pression artérielle moyenne à 80 mmHg (100-110 de systolique maximum) et ne doit notamment pas être agressif en cas d’hypertension portale (risque d’aggravation du saignement). On peut peut-être même tolérer une PAM à 65 mmHg lors de rupture de VO. Le remplissage vasculaire se base sur l’estimation des pertes avec un seuil à 800 ml, permettant de choisir entre l’utilisation de cristalloïdes ou de colloïdes, même si ces derniers n’ont pas prouvé de supériorité.

Le sondage gastrique est classiquement conseillé à visée diagnostique, quand l’hématémèse n’a pas été objectivée et pour suivre l’activité du saignement, mettre en place un lavage à l’eau glacée pour préparer l’endoscopie. La présence de varices oesophagiennes n’est pas une contre-indication. En cas d’hémorragie cataclysmique, les sondes de tamponnement oesophagien ou gastrique de Blackemore ou Linton peuvent être utilisées en cas de rupture de varices oesophagiennes.

Si les signes de déglobulisation sont évidents, la transfusion de culots globulaires doit être rapide. L’indication se pose pour des pertes > 1500 ml, une hémoglobine < 7 g/dl (ou 10 g/dl si coronarien). L’objectif est le maintien de l’hématocrite > 25%. Les troubles de l’hémostase sont à corriger, sauf chez le cirrhotique à moins d’une thrombopénie < 30 000. La transfusion de plus de 2 culots globulaires fait discuter de l’administration d’une unité de plasma frais congelé par culot globulaire transfusé. Les objectifs sont : plaquettes > 50 000 voire 100 en cas de saignement actif, TP > 40%, fibrinogène > 1,5 g/l. En cas d’hypocalcémie < 0,9 mmol/l il faut perfuser du chlorure de calcium.

Endoscopie

Elle est toujours indiquée dans un épisode d’hémorragie digestive haute, sauf si l’état général du malade est tellement altéré qu’il ne pourra supporter l’examen ou qu’elle s’inscrit dans une fin de vie. Elle est toujours indiquée dans les 24 heures suivant l’épisode, et même dans les 12 heures en cas d’hypertension portale. L’endoscopie peut être réalisée chez un patient vigile sous ces conditions :

  • stable hémodynamiquement
  • coopérant
  • hémoglobine corrigée ≧ 7 g/dl
  • non hypoxique
  • estomac vidangé, à jeun depuis 6 h, préparé par érythromycine 250 mg IV  dans les 30 min précédant l’examen

Dans les autres cas elle sera réalisée après intubation trachéale : troubles de conscience, instabilité hémodynamique, hypoxie, présomption d’hémorragie cataclysmique.

Dans tous les cas le traitement définitif est réalisé sous endoscopie, avec injection locale d’adrénaline, ligature élastique des varices oesophagiennes, thermocoagulation, compression mécanique (stent ?) des ulcères gastriques et VO.

Quand l’endoscopie n’est pas réalisable, et en cas d’hémorragie grave ou de suspicion de fistule aorto-duodénale, un scanner sans et avec injection peut être réalisé, éventuellement complété par une artériographie. Il convient généralement plus aux bilans des hémorragies digestives basses.

Rupture de varices oesophagiennes

En cas de varices oesophagiennes, différents traitements vasopresseurs sont classiquement proposés pour réduire le saignement en attendant l’exploration et le traitement endoscopique :

  • octréotide : Sandostatine® 25 µg/h IVSE
  • somatostatine : bolus de 0,25 mg puis relai à 0,25 mg/h IVSE
  • terlipressine : Glypressine® entre 1 et 2 mg en fonction du poids, à répéter toutes les 4h

La baisse du débit splanchnique obtenu par ces vasopresseurs sera relayé au bout de 5 jours par les bêta-bloquants. En cas d’échec de l’endoscopie, un shunt porto-cave TIPS peut être réalisé ou dans les 72h en prévision de la récidive chez les patients à haut risque. En attendant ce shunt porto-systémique, une sonde de tamponnement oesophagien doit être mise en place pour une durée ≦ 24h, gonflée à l’air, exposant au risque d’ischémie oesophagienne. Au décours de l’évènement, une antibiothérapie probabiliste préventive par fluoroquinolones : norfloxacine 400 mg × 2/j ou céphalosporine de 3ème génération, pendant 7 jours est indiquée chez le cirrhotique, de même que l’utilisation de lactulose pou prévenir l’encéphalopathie. Chez les coronariens et malades sous antiagrégants plaquettaires en association, seule l’aspirine doit être maintenue en attente de l’avis cardiologique.

Maladie ulcéreuse gastro-duodénale

Dans la maladie ulcéreuse, les oesophagites, l’injection IV d’un inhibiteur de la pompe à protons est indiquée, et même assez facilement dans toute situation. La voie injectable par perfusion continue est utilisée en soins intensifs à dose de 8 mg/h pendant 24 h (étendu à 48 voire 72 h) après bolus IV de 2 ampoules de 40 mg d’oméprazole (ou ésoméprazole).

L’endoscopie est à employer en 1ère intention pour l’injection d’adrénaline, thermocoagulation, pose de clips hémostatiques en fonction de la classification de Forrest. L’échec fera employer l’artériographie si disponible, ou la chirurgie en cas d’échec.

Références

Hématémèse, Urgences1click

Hémorragie digestive : stratégie diagnostique et thérapeutique, Faut il mettre en place une sonde gastrique dans les hémorragies digestives ? , SFMU 2013

Bleeding Esophageal Varices , Images in clinical medicine , Transfusion Strategies for Acute Upper Gastrointestinal Bleeding 2013 , NEJM

Management and dispo of upper GI bleed, EMdocs

Management of Acute Variceal Bleeding

Portal hypertension and gastrointestinal bleeding: Diagnosis, prevention and management

Acute variceal bleeding in a patient with idiopathic myelofibrosis successfully treated with endoscopic variceal band ligation and chemotherapy: a case report

The First Egyptian Experience Using New Self-Expandable Metal Stents in Acute Esophageal Variceal Bleeding: Pilot Study

An incomplete esophageal perforation masquerading as variceal bleeding

Self-Expandable Metal Stents in the Treatment of Acute Esophageal Variceal Bleeding

Spontaneous esophageal mucosal dissection in a patient with upper digestive bleeding and esophageal varices

Management of variceal and nonvariceal upper gastrointestinal bleeding in patients with cirrhosis

Duodenal variceal bleeding after balloon-occluded retrograde transverse obliteration: Treatment with transjugular intrahepatic portosystemic shunt

Médias

saignement sur varices oesophagiennes, liste YouTube

animation des techniques possibles pour les ulcères gastro-duodénaux

Quelque chose à ajouter ?

YouTube