L’hématome sous dural est la constitution d’une poche de sang dans l’espace sous dural, en dessous de la dure-mère, le feuillet le plus externe et le plus dur des méninges protégeant le cerveau. C’est une lésion assez fréquente dans les traumatismes crâniens et qui est une lésion secondaire non liée à une blessure cérébrale au moment critique du traumatisme.
Les saignements peuvent être secondaires à un traumatisme direct (chute en premier lieu) mais des HSD sont possibles dans les accidents violents avec accélération/décélération, ou spontanés. Ils proviennent de déchirures de vaisseaux cérébraux, moins souvent artères que veines entre le cortex cérébral et les sinus veineux de drainage. L’espace sous-dural étant facilement décollable, la constitution de l’hématome peut être très rapide. Ceci aboutit à une augmentation de la pression intracrânienne, à l’écrasement des ventricules cérébraux, et à un oedème cérébral secondaire.
On distingue une forme aiguë comme décrit précédemment et une forme chronique, où le traumatisme crânien initial est passé inaperçu, survenant volontiers chez le sujet âgé ou sous anticoagulants. L’origine est plutôt une hémorragie veineuse qui va s’organiser et se collecter (entre 3 semaines et 3 mois) et entraîner une compression progressive. Logiquement c’est l’hématome sous dural aigu qui est la « vraie urgence », mais on peut rencontrer des hématomes sous-duraux chroniques mal tolérés qui peuvent s’engager brutalement et il n’est pas toujours facile de classer entre aigu et chronique dans certains cas.
La manifestation la plus classique concerne les troubles de la conscience et de la vigilance. D’autres signes peuvent être retrouvés : céphalées, vomissements, déficit neurologie à type d’hémiparésie, oedème papillaire au fond d’oeil, traduisant l’hypertension intracrânienne associée. Il peut y avoir un intervalle libre avant l’apparition des signes neurologiques, même si cette expression est surtout classiquement utilisée pour l’hématome extra-dural (qui n’en a pas toujours).
Dans l’hématome sous dural chronique, les manifestations sont tardives, avec une symptômatologie plus atypique. L’apparition de signes d’hypertension intracrânienne, d’une pseudo démence surtout chez la personne âgée ou l’alcoolique chornique ou de signes déficitaires progressifs pseudo-vasculaires (hémiparésie discrète, ataxie, instabilité à la marche), peuvent faire évoquer le diagnostic surtout si la notion de traumatisme crânien, de chutes les semaines précédentes est retrouvée. L’imagerie demandée même dans une autre suspicion posera de toutes façons le diagnostic.
Le syndrome des enfants ou bébés secoués correspond à un hématome sous dural aigu de la scissure interhémisphérique par rupture des veines se drainant dans le sinus longitudinal supérieur.
La prise de toxiques, comme l’alcool, la cocaïne sont de facteurs favorisants.
Le diagnostic différentiel se pose avec l’hématome extra-dural et les autres traumatismes crâniens, embarrure crânienne ...
Elle repose presque entièrement à l’heure atcuelle sur le scanner cérébral en urgence dès la suspicion clinique. Il précise l’étendue, évalue sommairement l’ancienneté en fonction de la densité de l’hématome : hyperdense car récent mais il peut être de la même densité que le cerveau si l’hématome est subaigu. La forme est celui d’un croissant ou d’un ménisque avec concavité en dedans vers le parenchyme et convexité contre la boîte crânienne.
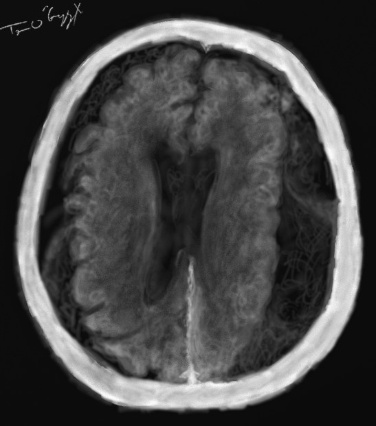
Dans les hématomes sous duraux chroniques, l’aspect en scanographie peut être très variable, par définition plutôt hypodense ancien, mais aussi isodense difficile à percevoir au premier coup d’oeil (repérer la ligne de séparation avec le cerveau) ou en couches différentes voire mélangé. L’hématome peut être unilatéral ou bilatéral. La TDM évalue aussi la compression engendrée avec des signes d’hypertension intracrânienne, l’effacement des sillons corticaux, la compression sur les ventricules latéraux, et le déplacement des structures en dehors de la ligne médiane en cas d’engagement sous la faux du cerveau.

hématome sous dural bilatéral isodense, difficile à voir même après injectiond de produit de contraste
L’IRM peut bien évidemment visualiser des hématomes mais l’examen n’étant pas dans le bilan initial d’un traumatisme crânien ou d’un polytraumatisme, on observe peu ce genre de lésions sur cet examen. Néanmoins des IRM demandées dans des indications plus vasculaires et en neurovasculaire dans le bilan AVC avec possibilité de thrombolyse peuvent visualiser des hématomes sous duraux de petites tailles ainsi que d’autres lésions parenchymateuses associées. Elle peut aussi faire partie du bilan secondaire d’un HSD de petite taille surveillé cliniquement.
Le traitement se fait en deux étapes. La première est la mise en condition du patient victime d’un traumatisme crânien sévère et n’a pas de particularités entre l’hématome sous dural et les autres lésions, d’autant plus que la confirmation diagnostique est impossible (sur les lieux de l’accident par exemple).
Le contrôle des voies aériennes chez le patient comateux avec score de Glasgow < 8 est impératif et passe par l’intubation (avec induction par etomidate plutôt que thiopental, hypotenseur). La ventilation assistée lutte contre l’hypoxie, autrefois en hyperventilation pour réduire le volume sanguin sanguin cérébral et la pression intracrânienne. Mais celle-ci peut avoir des effets délétères en induisant une vasoconstriction cérébrale trop intense et une réduction ischémique du débit sanguin cérébral. Une normoventilation lui est préférable à la phase initiale, et l’hyperventilation serait à garder pour une HTIC réfractaire. L’entretien de la sédation peut être fait avec des benzodiazépines (avec effet anticomitial bienvenu) et des morphiniques en cas de lésions multiples nociceptives, et sans curarisation.
La position à adopter pour un traumatisme crânien grave est tête en rectitude avec inclinaison de 0 à 30° et surveillance de l’effet sur le monitorage, pour les patients stables, mais decubitus dorsal classique en cas d’hypotension. Le rôle de la température a aussi été discuté sans qu’il soit clairement démontré d’un bénéfice d’une hypothermie modérée.
La surveillance de la pression artérielle avec maintien d’une pression moyenne > 80 mmHg et utilisation de sérum salé isotonique (éviter le glucosé dans les lésions cérébrales), voire de solutés macromoléculaires en cas de choc, voire utilisation d’amines vasopressives. L’anémie aggrave aussi l’HTIC, il faut envisager une compensation en desosus d’une Hb à 9.
En cas de signes d’engagement cérébral, la lutte contre l’hypertension intracrânienne passe par la perfusion de 0,5 à 1 g/kg de mannitol à 20 % en 10 minutes. Les corticoïdes n’ont pas prouvé leur efficacité dans ce contexte.
La seconde étape est le traitement définitif chirurgical au bloc opératoire.
L’indication neurochirurgicale d’intervention pour un HSD aigu avec signes neurologiques est posée pour un hématome sous dural de plus de 5 mm d’épaisseur ou déplaçant la ligne médiane de plus de 5 mm. Certains auteurs préconisent l’intervention pour une épaisseur > 10 mm quel que soit l’état de conscience. En cas de lésions multiples, cette indication est modulée : hématome extra-dural, traumatisme crânien ouvert, embarrure, hydrocéphalie aiguë, hématome intracérébral, … de même qu’en cas d’altération irréversible du parenchyme cérébral, de coagulopathie, etc. L’âge, les antécédents, l’opérabilité, l’espérance de vie restante et la localisation entrent aussi en ligne de compte.
L’association à d’autres lésions dans un polytraumatisme doit faire décider la priorité des lésions à traiter. En général l’hématome sous dural aigu est prioritaire devant la plupart des lésions mais un HSD sans signes de localisation passera après une laparotomie pour hémorragie interne abdominale non contrôlée.
L’indication opératoire pour l’HSD chronique est posée en cas de signes d’HTIC ou d’aspect expansif, d’effet de masse au scanner.
C’est une trépanation puis crâniotomie et évacuation de l’hématome en urgence.
L’évolution après traitement est parfois décevante en cas de lésion cérébrale diffuse et la précocité d’intervention ne permet pas toujours une récupération ad integrum. Elle reste quand même le prototype de l’intervention chirurgicale d’urgence et le pronostic chez les patients jeunes est plutôt bon.
Beydon L, Carli P, Riou B, Traumatismes graves, Arnette
Medscape : Subdural haematoma , Acute subdural hematoma , Subdural hematoma surgery et Imaging in subdural hematoma
Radiopaedia : Subdural haemorrhage , Skull fracture with subdural hematoma et Chronic subdural haematoma – importance of « membranes » on CT
Multiple Densities of the Chronic Subdural Hematoma in CT Scans
Precedence of Parenchymal Enhancement on CT Angiography to a Fatal Duret Hemorrhage
Brain herniation induced by drainage of subdural hematoma in spontaneous intracranial hypotension
Chronic subdural hematoma following electroconvulsive therapy
Spontaneous spinal subdural hematoma concurrent with cranial subdural hematoma
Usefulness of embolization of the middle meningeal artery for refractory chronic subdural hematomas
Remote contralateral intraparenchymal hemorrhage after overdrainage of a chronic subdural hematoma
An unusual extra-axial hypodense lesion mimicking a chronic subdural haematoma
Migration of traumatic intracranial subdural hematoma to lumbar spine causing radiculopathy
Decompressive craniectomy with multi-dural stabs – A combined (SKIMS) technique to evacuate acute subdural hematoma with underlying severe traumatic brain edema (attention photos de chirurgie)
Wegener’s granulomatosis with subdural hematoma as the initial manifestation
Abusive head trauma: report of 3 cases
Acute Subdural Hematoma Requiring Surgery in the Subacute or Chronic Stage
Microbleeds as a Prognostic Factor for Acute Subdural Hematoma
Contralateral Acute Subdural Hematoma Following Traumatic Acute Subdural Hematoma Evacuation
Un hématome sous-dural qui n’en est pas un chez une femme âgée (abstract)
Le traitement chirurgical (âmes sensibles s’abstenir, en même temps que faites vous sur ce site après tout ?)