Mis à jour le 15/06/2014
Type même de l’urgence chirurgicale au cours des traumatismes crâniens, idéalement prise en charge en neurochirurgie mais en situation de nécessité sans service spécialisé, le geste opératoire doit être réalisé en tant que « chirurgie crânienne » par un chirurgien connaissant la technique.
Peut être un peu trop connu par rapport à sa réelle fréquence, comparé à des hématomes sous-duraux beaucoup plus souvent rencontrés ou des lésions hémorragiques intra-cérébrales.
Sommaire
Collection de sang «frais» entre l’os du crâne et les méninges (membranes qui entoure le cerveau, comportant plusieurs feuillets ici c’est le feuillet le plus externe, fibreux, la dure-mère). L’hématome est donc épidural ou extra-dural et décolle la dure-mère normalement accolée au périoste de l’os de la voûte du crâne.
Ce décollement se fait rapidement en bombement vers l’intérieur du crâne, vers le cerveau car de l’autre côté, il n’y a bien évidemment pas de place pour que le sang s’évacue.
La région temporale crânienne (zone décollable de Gérard Marchant) est particulièrement à risque car la dure-mère y est moins solidement adhérente. On y trouve l’artère méningée moyenne et ses veines satellites, qui explique la constitution d’hématomes de volume important. Les localisations frontales et occipitales sont possible aussi, y compris bilatéral à cheval sur le sinus longitudinal supérieur. La diffusion à la base du crâne est particulièrement dangereuse.
Il existe des hématomes extra duraux en dehors du crâne à l’étage rachidien, dans l’espace épidural avec des risques de compression au niveau de la moelle épinière. La présentation est donc bien différente et n’entre plus dans le cadre des traumatismes crâniens.
Le diagnostic clinique n’est pas aussi stéréotypé que la description de la littérature. A savoir une perte de conscience, un intervalle libre de récupération complète et ensuite un retour dans le coma avec aggravation rapide.
Cet intervalle libre est même difficile à faire préciser, il peut manquer, la récupération de conscience peut être partielle …
Les déficits moteurs et sensitifs ont une valeur localisatrice. Les convulsions sont possibles.
L’anisocorie (asymétrie des pupilles) est un signe de gravité qui indique déjà un engagement. La mydriase bilatérale en stade extrème indique la décérébration.
Il n’y a pas d’âge préférentiel de survenue, puisque l’HED peut toucher n’importe quel patient ayant fait une chute (enfant, vieillard, patient alcoolique ou intoxiqué) ou ayant eu un accident de sport, de la voie publique et donc en général d’âge moyen. Si l’hématome extra-dural a été décrit initialement dans les traumatismes crâniens, l’importance des traitements anticoagulants à partir d’un certain âge rend la possibilité de sa survenue plus facile (notamment au cours des déséquilibres et surdosages) pour des traumatismes crâniens mineurs. Les hématomes spontanés existent aussi, dans le contexte de troubles de l’hémostase et de maladies chroniques du sang. Des descriptions ont été faites aussi d’hématomes survenant sur des anomalies locales crâniennes notamment tumorales, et des hématomes local ou controlatéral en post-opératoire de neurochirurgie.
La présentation clinique n’est pas si différente d’un hématome sous-dural aigu de constitution rapide.
Le scanner fait le diagnostic en une image d’hyperdensité (donc blanche)sous forme de lentille biconvexe, ce qui donne donc un bombement convexe vers le cerveau. Classiquement homogène hyperdense, l’aspect peut être plus discret au niveau couleur dans un premier temps, dans un HED vu tôt. L’aspect est parfois beaucoup plus hétérogène voire de même densité que le cerveau avec une zone d’hémorragie active hyperdense. C’est exceptionnel mais la survenue de 2 hématomes extra duraux en 2 localisations opposées est possible et de façon retardée.
Si l’hématome est important, la compression sur le cerveau efface les sillons corticaux du côté de l’hématome, écrase les ventricules latéraux, va même jusqu’à refouler les structures homolatérales de l’autre côté avec un engagement sous la faux du cerveau. L’engagement dans la tente du cervelet ou le tronc cérébral est plus difficile à mettre en évidence au scanner.
Le trait de fracture peut être vu en fenêtres osseuses, il n’a pas d’intérêt en lui-même. Des lésions associées sont possibles : extension de la fracture de la voûte à la base du crâne, fractures des os de la face, avec leurs complications spécifiques.
L’IRM peut être utilisée dans certains cas de diagnostic difficile quand l’état neurologique le permet.

agression : hématome extra dural gauche sur fracture temporo-pariétale étendue à la base du crâne, fracture de l’orbite associée

hématome extra dural gauche pariétal avec déviation des structures médianes en coupe frontale au scanner

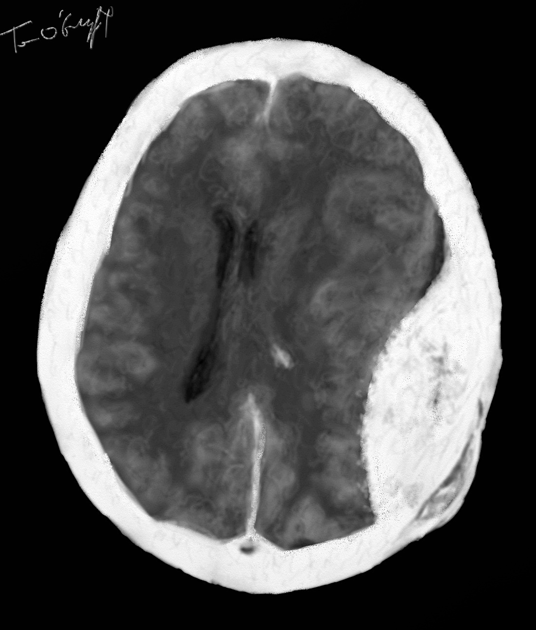
hématome extradural droit de grand volume avec déplacement des structures médianes, scanner cérébral
Le traitement est chirurgical au bloc opératoire le plus rapidement possible. Il consiste en une trépanation pour aspirer l’hématome ce qui lève la compression. Les hématomes de gros volume nécessitent de réaliser un volet crânien et l’évacuation à la main des caillots, la suture de l’artère méningée ou de sa branche responsable ou sa ligature.
Pour éviter les récidives, la dure-mère est amarrée au crâne.
Certains petits hématomes extra-duraux ne sont pas opérés mais surveillés, il y en a un exemple plus haut tiré de Radiopaedia.
La surveillance se fait en réanimation d’autant plus que l’HED est rarement isolé, des lésions cérébrales peuvent être associées.
Hématome du vertex suite à une chute avec réception sur le sommet du crâne :
Hématomes de faible volume pouvant justifier du traitement conservateur :

scanner cérébral d’un enfant de 6 ans, hématome extradural droit de petit volume sans effet compressif, traitement conservateur

hématome extra dural droit hétérogène avec contenu majoritairement isodense et zone hyperdense d’hémorragie active

hématome extra dural postérieur limité par la suture temporo-occipitale et déplaçant la partie distale du sinus transverse
Exceptionnel : hématome extradural du clivus en IRM de profil
Un hématome extra-dural « chronique » c’est visiblement possible, dans ce cas particulier où il est calcifié, « ossifié » :
Traumatismes graves, L. Beydon, P. Carli, B.Riou, éditions Arnette
Extradural haemorrhage , extradural haematoma with conservative management , epidural haematoma , Radiopaedia
Pubmed :
Remote Postoperative Epidural Hematoma after Subdural Hygroma Drainage
Pathological intracranial extradural hematoma in a 10-year-old child
Extradural hematoma in Plasmodium vivax malaria: Are we alert to detect?
Traumatic brain injury in infants and toddlers, 0–3 years old
Calcified epidural hematoma in pediatric age group: A report of two cases
Bilateral Symmetrical Parietal Extradural Hematoma
Extradural hematoma in an infant of 8 months
A rare case of spontaneous bilateral extradural hematoma in a sickle cell disease child
Bilateral Biconvex Frontal Chronic Subdural Hematoma Mimicking Extradural Hematoma
Bilateral asynchronous acute epidural hematoma : a case report
Eosinophilic Granuloma Presenting as an Epidural Hematoma and Cyst
Rapid Spontaneous Redistribution of Acute Epidural Hematoma : Case Report and Literature Review
Progressive Epidural Hematoma in Patients with Head Trauma: Incidence, Outcome, and Risk Factors
Collet-Sicard Syndrome Associated with Occipital Condyle Fracture and Epidural Hematoma
Rapidly Calcified Epidural Hematoma in a Neonate
Spontaneous Rapid Resolution of Acute Epidural Hematoma in Childhood
Spontaneous Epidural Hematoma from Skull Base Metastasis of Hepatocellular Carcinoma
Primary plasmacytoma of the cranial vault: a case report
Craniofacial trauma and double epidural hematomas from horse training
Disseminated Intravascular Coagulation in a Patient Undergoing Removal of Metastatic Brain Tumor
Intracranial hemorrhage following lumbar spine surgery
Endovascular Treatment of Incoercible Epistaxis and Epidural Cerebral Hematoma
Contralateral delayed epidural hematoma following intracerebral hematoma surgery
Bilateral Acute Epidural Hematoma with Good Outcome
Traumatic retroclival epidural hematoma in pediatric patient—Case report and review of literature
Craniectomie pour hématome extra-dural
HED frontal, où se rend bien compte de l’aspect en lentille biconvexe
Trépanation avec une chignole à main
HED temporo-pariétale chez une fillette
échographie transfontanellaire chez un enfant de 7 mois
Discussion sur la trépanation pour les HED survenant loin d’un trauma center