thoracotomie

petite encyclopédie de l'urgence

pneumonie infectieuse pneumopathie franche lobaire aigue

pneumonie infectieuse pneumopathie franche lobaire aigue

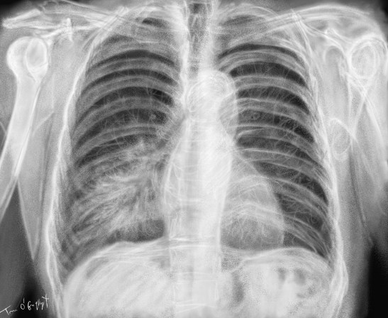
pneumonie lobaire inférieure droite à la radiographie de thorax

Quelque chose à ajouter ?

Information

Publié le 2 décembre 2015 à 1755 × 1440 dans Pneumonies et pneumopathies infectieuses de l’adulte

Navigation

YouTube