thoracotomie

petite encyclopédie de l'urgence

accident vasculaire cerebral AVC ischémique

accident vasculaire cerebral AVC ischémique

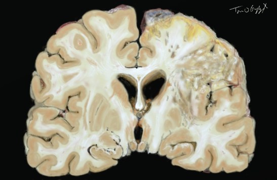
Accident vasculaire cérébral ischémique constitué. ramollissement cérébral pariétal gauche

Quelque chose à ajouter ?

Information

Publié le 3 décembre 2015 à 1620 × 1055 dans Accident vasculaire cérébral ischémique transitoire et constitué

Navigation

YouTube