thoracotomie

petite encyclopédie de l'urgence

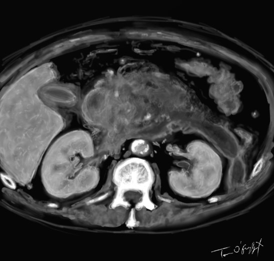
pancreatite scanner

pancreatite scanner

scanner de pancréatite aiguë nécrosante stade E avec importante réaction oedémateuse et coulée de nécrose

Quelque chose à ajouter ?

Information

Publié le 3 décembre 2015 à 1463 × 1395 dans Pancréatite aiguë

Navigation

YouTube