thoracotomie
petite encyclopédie de l'urgence
Médecine & Chirurgie
Urgences et détresses vitales
Cardiologie, Chirurgie cardiaque et vasculaire
Pneumologie, Chirurgie thoracique
Hepato-gastro-enterologie, Chirurgie viscerale et digestive
Urologie, Gynécologie Obstétrique
Néphrologie, Endocrinologie, Hématologie, Cancérologie
Neurologie, Neurochirurgie, Ophtalmologie, Oto-rhino-laryngologie, Chirurgie maxillo-faciale
Dermatologie, Chirurgie plastique, Allergologie, Pathologie environnementale
Infection
Infections par foyers
Infections par agents spécifiques
Intoxications
Intoxications médicamenteuses et drogues
Toxiques naturels et industriels
Traumatisme
Généralités, polytraumatisme, situations particulières
Traumatismes thoraciques et abdominaux
Traumatismes crâniens, facial, cervical et rachidien
Traumatismes du membre supérieur et de la main
Traumatismes du membre inférieur
Technique
Réanimation médicale
Petite chirurgie, Orthopédie
Radiologie, Echographie, Scanner
Chirurgie, Médecine interventionnelle
Histoire de la medecine et de la chirurgie
Antiquité – Origines de la médecine
Moyen Âge et Renaissance
XVIIe et Siècle des Lumières
XIXème siècle
Epoque contemporaine
Art, Cinéma, Musique
Illustrations noir et blanc
Illustrations noir et blanc 1
Illustrations noir et blanc 2
Illustrations noir et blanc 3
Illustrations noir et blanc 4
Illustrations noir et blanc 5
Illustrations couleur
Illustrations couleur 1
Illustrations couleur 2
Illustrations couleur 3
Illustrations couleur 4
Peintures numériques : Time lapse digital painting
Peintures numériques Médecine, Chirurgie & Histoire
Peintures numériques Cinéma Fantastique, Science-Fiction & Horreur
Peintures numériques diverses
Actualités
A propos
Ethique
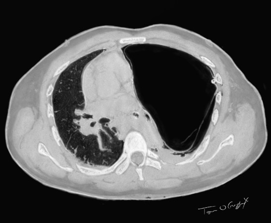
scanner bulle emphyseme drain thoracique
Quelque chose à ajouter ?
Annuler la réponse.
Δ
Information
Published on
5 décembre 2015
at
1741 × 1440
Références
Amal Mattu's Emergency ECG of the week
University of Maryland Emergency Medicine
Dr Smith's ECG blog
Instructive ECGs in Clinical Context
E-cardiogram
Formation à la lecture de l’ECG
EMCrit Blog
Emergency Department Critical Care & Resuscitation
FOAMEM
Flux RSS des articles de blog de FOAMed
Life in the fast lane
Site australien de médecine d’urgence
New England Journal of Medicine
Images in clinical medicine
Orpha.net
Le portail des maladies rares
PulmCrit
Controversies in adult critical care medicine
Radiopaedia
Encyclopédie radiologique
twitter
Follow @thoracotomie
Facebook
Facebook
Google +
thoracotomie
Recherche
Rechercher :
GMEP
thoracotomie
YouTube
thoracotomie
Blogs santé
2 garçons, 1 fille : 3 sensibilités
Policlinique fondée en 2013
Antisèches de consultation en médecine générale
scores et recommandations pour la médecine générale
Doc Adrénaline
Emergency medicine young doc’s mood
Echocardioblog
échographie cardiaque
Et un peu de neurologie
Site d’un neurologue
Hic & Nunc
Le blog de NFKB, anesthésiste
La Mine
Médecine d’urgence hospitalière et préhospitalière
Le blog de Michaël
cas cliniques et revues de la littérature pour la médecine générale
Le gazier
L’anesthésie-réanimation sans prise de tête
Leya MK
Le kiné, ce héros ? Si on en parlait…
Urgentologie
Petit Interne d’Urgentologie
Zigmund
blog d’un ophtalmologiste
Confidentialité & Cookies : Ce site utilise des cookies. En continuant à utiliser ce site, vous acceptez leur utilisation.
Pour en savoir davantage, y compris comment contrôler les cookies, voir :
Politique relative aux cookies
Commentaire
S'abonner
Abonné
thoracotomie
Rejoignez 111 autres abonnés
M’inscrire
Vous disposez déjà dʼun compte WordPress ?
Connectez-vous maintenant.
thoracotomie
S'abonner
Abonné
S’inscrire
Connexion
Copier lien court
Signaler ce contenu
Voir la publication dans le Lecteur
Gérer les abonnements
Réduire cette barre