thoracotomie

petite encyclopédie de l'urgence

Archives de Tag: dilatation aiguë de l’estomac

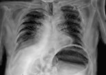
Dilatation aiguë de l’estomac, volvulus gastrique

Cette expression, je l’ai retrouvé à deux reprises dans de vieux ouvrages de chirurgie digestive. Passée l’époque de la seconde guerre mondiale, elle semble disparaître des manuels. Je n’en ai … Lire la suite

2 juillet 2012 · Poster un commentaire

YouTube